Unit Size 100 µg | |
Synonym / Alias Names zinc finger protein GLI2|tax-responsive element-25-bp sequence binding protein|tax-responsive element-2 holding protein|tax helper protein 2|oncogene GLI2|THP2|GLI-Kruppel family member GLI2|GLI2 | |
Accession ID NP_005261.2 | |
Blocking Peptide EBP07136 | |
Immunogen Peptide with sequence DLKEDLDRDDCKQE, from the internal region of the protein sequence according to NP_005261.2. | |
Product Comments This antibody is expected to recognise all four reported isoforms (NP_084655.1, NP_084656.1, NP_084657.1 and NP_005261.1) | |
Peptide Sequence DLKEDLDRDDCKQE | |
Shipping Instructions Refrigerated | |
Predicted Species Human, Mouse | |
Reactive Species Human | |
Human Gene ID 2736 | |
Product Grade ![]() | |
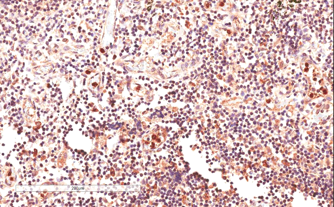
IHC Results In paraffin embedded Human Lymph Node shows nuclear staining in macrophages. Recommended concentration: 4-6µg/ml. | |
ELISA Detection Limit Antibody detection limit dilution 1:2000. | |
Western Blot Preliminary experiments gave an approx 55kDa band in Human Bone Marrow and Ovary lysates after 1µg/ml antibody staining. Please note that currently we cannot find an explanation in the literature for the band we observe given the calculated size of 168kDa according to NP_005261.2. The 55kDa band was successfully blocked by incubation with the immunizing peptide. | |
Application Type Pep-ELISA, IHC |
-
This product has been discontinued.
Goat Anti-GLI2 Antibody
$423.00
| SKU | Unit Size | Price |
|---|---|---|
Select a unit size:
Documents |


