Formulation Supplied at 0.5 mg/ml in Tris saline, 0.02% sodium azide, pH7.3 with 0.5% bovine serum albumin.
| |
Unit Size 100 µg | |
Storage Instructions Aliquot and store at -20°C. Minimize freezing and thawing. | |
Synonym / Alias Names GLYRA1|glycine receptor, alpha 1 subunit|glycine receptor, alpha 1|glycine receptor subunit alpha-1|glycine receptor strychnine-binding subunit|glycine receptor 48 kDa subunit|Glra1 | |
Accession ID NP_037265.1 | |
Blocking Peptide EBP11795 | |
Immunogen Peptide with sequence CLQAKDGISVKGAN, from the internal region of the protein sequence according to NP_037265.1. | |
Product Comments The immunizing peptide represents part of the cytoplasmic domain. The antibody is not expected to cross-react with other glycine receptor alpha proteins. | |
Peptide Sequence CLQAKDGISVKGAN | |
Purification Method Purified from goat serum by ammonium sulphate precipitation followed by antigen affinity chromatography using the immunizing peptide. | |
Shipping Instructions Refrigerated | |
Predicted Species Human, Mouse, Rat, Dog, Pig, Cow | |
Reactive Species Human, Mouse, Rat | |
Human Gene ID 2741 | |
Mouse Gene ID 14654 | |
Rat Gene ID 25674 | |
Product Grade ![]() | |
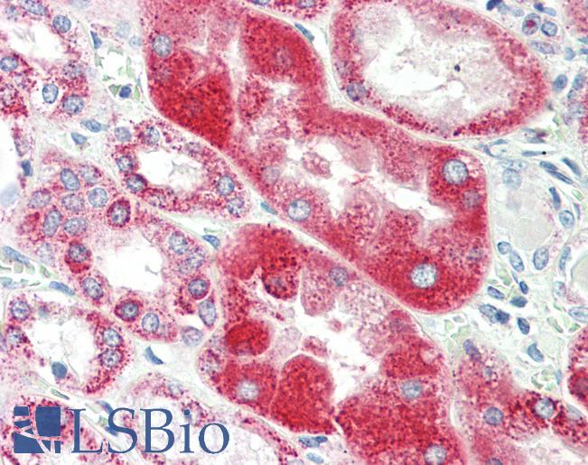
IHC Results Paraffin embedded Human Lung and Kidney. Recommended concentration: 5µg/ml. | |
ELISA Detection Limit Antibody detection limit dilution 1:128000. | |
Western Blot Approx 60kDa band observed in Mouse and Rat Testis lysates (calculated MW of 51.7kDa according to Mouse NP_065238.2). The observed molecular weight corresponds to the glycosylated form. Recommended concentration: 0.3-1µg/ml. Primary incubation was 1 hour. | |
Application Type Pep-ELISA, WB, IHC |
Goat Anti-Glycine receptor, alpha 1 (intracellular) Antibody
$431.00
| SKU | Unit Size | Price |
|---|---|---|
Select a unit size:
Documents |



