Formulation Supplied at 0.5 mg/ml in Tris saline, 0.02% sodium azide, pH7.3 with 0.5% bovine serum albumin.
| |
Unit Size 100 µg | |
Storage Instructions Aliquot and store at -20°C. Minimize freezing and thawing. | |
Synonym / Alias Names GNAI2|guanine nucleotide binding protein (G protein), alpha inhibiting activity polypeptide 2|GIP|GNAI2B|H_LUCA15.1|H_LUCA16.1|GTP-binding regulatory protein Gi alpha-2 chain|adenylate cyclase-inhibiting G alpha protein|guanine nucleotide-binding protein G(i) subunit alpha-2|guanine nucleotide-binding protein G(i), alpha-2 subunit | |
Accession ID NP_002061.1; NP_001159897.1 | |
Blocking Peptide EBP11980 | |
Immunogen Peptide with sequence C-PEYTGANKYDE, from the internal region of the protein sequence according to NP_002061.1; NP_001159897.1. | |
Product Comments This antibody is expected to recognize both reported isoforms (NP_002061.1; NP_001159897.1). | |
Peptide Sequence C-PEYTGANKYDE | |
Purification Method Purified from goat serum by ammonium sulphate precipitation followed by antigen affinity chromatography using the immunizing peptide. | |
Shipping Instructions Refrigerated | |
Predicted Species Human, Mouse, Rat, Pig, Cow | |
Reactive Species Human | |
Human Gene ID 2771 | |
Mouse Gene ID 14678 | |
Rat Gene ID 81664 | |
Product Grade ![]() | |
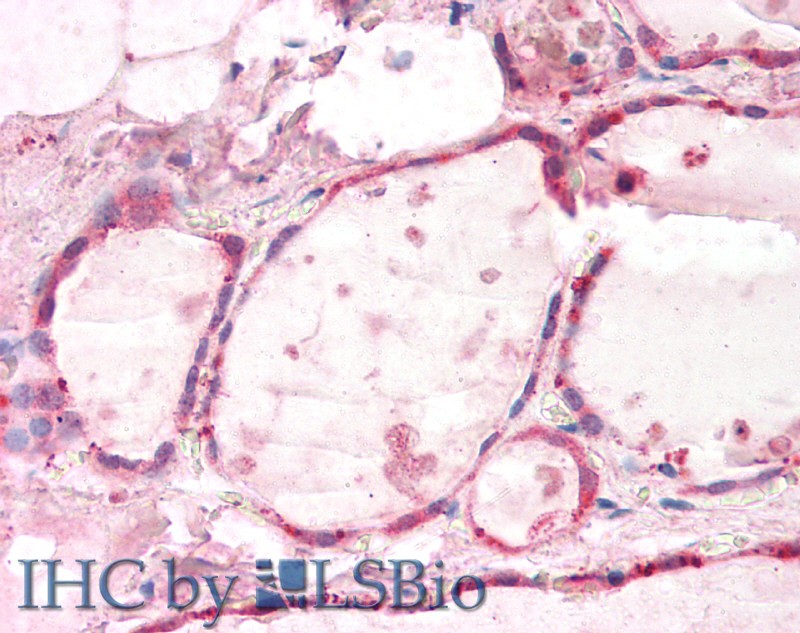
IHC Results Paraffin embedded Human Thyroid and Tonsil. Recommended concentration: 5µg/ml. | |
ELISA Detection Limit Antibody detection limit dilution 1:8000. | |
Western Blot Approx 38kDa band observed in Human Peripheral Blood Mononucleocytes lysates (calculated MW of 40.5kDa according to NP_002061.1). Recommended concentration: 1-3µg/ml. Primary incubation was 1 hour. | |
Application Type Pep-ELISA, WB, IHC |
Goat Anti-GNAI2 (aa289-299) Antibody
$431.00
| SKU | Unit Size | Price |
|---|---|---|
Select a unit size:
Documents |



