Formulation Supplied at 0.5 mg/ml in Tris saline, 0.02% sodium azide, pH7.3 with 0.5% bovine serum albumin.
| |
Unit Size 100 µg | |
Storage Instructions Aliquot and store at -20°C. Minimize freezing and thawing. | |
Synonym / Alias Names receptor of activated protein kinase C 1| protein homologous to chicken B complex protein, guanine nucleotide binding| proliferation-inducing gene 21| lung cancer oncogene 7| human lung cancer oncogene 7 protein| guanine nucleotide-binding protein subunit beta-like protein 12.3| guanine nucleotide-binding protein subunit beta-2-like 1| cell proliferation-inducing gene 21 protein| Receptor for Activated C Kinase 1| OTTHUMP00000223930| RACK1| PIG21| HLC-7| H12.3| Gnb2-rs1| guanine nucleotide binding protein (G protein), beta polypeptide 2-like 1|GNB2L1 | |
Accession ID NP_006089.1 | |
Blocking Peptide EBP10690 | |
Immunogen Peptide with sequence NTLGVCKYTVQDESH, from the internal region of the protein sequence according to NP_006089.1. | |
Peptide Sequence NTLGVCKYTVQDESH | |
Purification Method Purified from goat serum by ammonium sulphate precipitation followed by antigen affinity chromatography using the immunizing peptide. | |
Shipping Instructions Refrigerated | |
Predicted Species Human, Mouse, Rat, Dog, Cow | |
Reactive Species Human, Mouse, Rat | |
Human Gene ID 10399 | |
Mouse Gene ID 14694 | |
Rat Gene ID 83427 | |
Product Grade ![]() | |
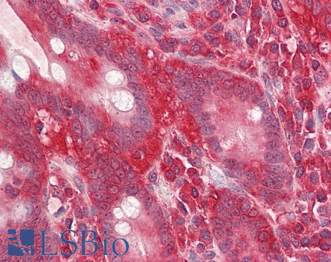
IHC Results Paraffin embedded Human Small Intestine. Recommended concentration: 3.75µg/ml. | |
ELISA Detection Limit Antibody detection limit dilution 1:128000. | |
Western Blot Approx 33kDa band observed in Human Lymph Nodes, in Mouse and Rat Spleen lysates and in lysates of many cell lines (calculated MW of 35.1kDa according to NP_006089.1). Recommended concentration: 0.1-0.3µg/ml. Primary incubation was 1 hour. | |
Application Type Pep-ELISA, WB, IHC |
Goat Anti-GNB2L1 Antibody
$431.00
| SKU | Unit Size | Price |
|---|---|---|
Select a unit size:
Documents |



