Formulation Supplied at 0.5 mg/ml in Tris saline, 0.02% sodium azide, pH7.3 with 0.5% bovine serum albumin.
| |
Unit Size 100 µg | |
Storage Instructions Aliquot and store at -20°C. Minimize freezing and thawing. | |
Synonym / Alias Names GPS1|COPS1|G protein pathway suppressor 1|Arabidopsis FUS6/COP11 homolog|CSN1|MGC71287 | |
Accession ID NP_997657.1; NP_004118.3 | |
Blocking Peptide EBP05952 | |
Immunogen Peptide with sequence C-PANSQSRMSTNM, from the C Terminus of the protein sequence according to NP_997657.1; NP_004118.3. | |
Product Comments This antibody is expected to recognise isoform 1 (NP_997657.1) and isoform 2 (NP_004118.3). | |
Peptide Sequence C-PANSQSRMSTNM | |
Purification Method Purified from goat serum by ammonium sulphate precipitation followed by antigen affinity chromatography using the immunizing peptide. | |
Shipping Instructions Refrigerated | |
Predicted Species Human, Mouse, Rat, Dog, Cow | |
Reactive Species Human | |
Human Gene ID 2873 | |
Mouse Gene ID 209318 | |
Rat Gene ID 117039 | |
Product Grade ![]() | |
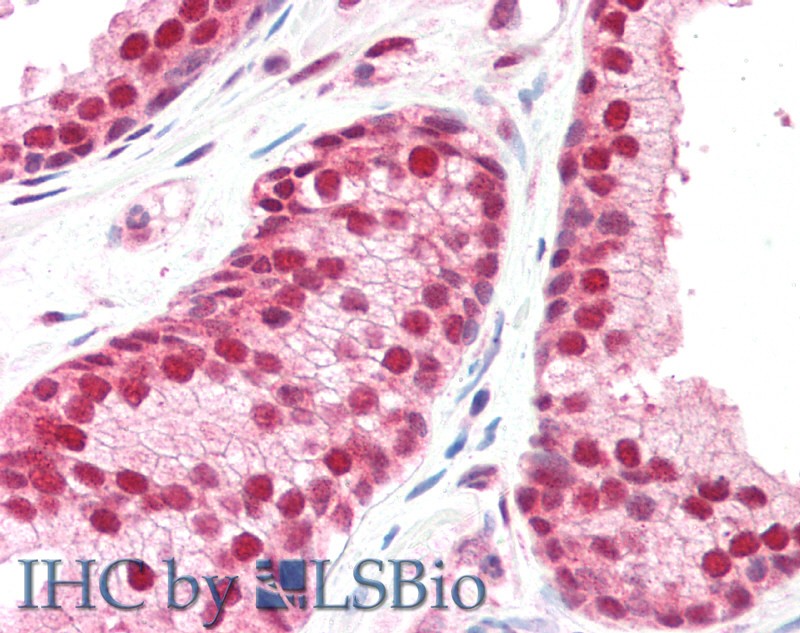
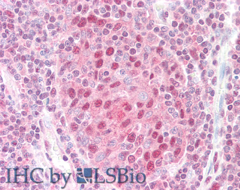
IHC Results Paraffin embedded Human Prostate, Testis and Tonsil. Recommended concentration: 5µg/ml. | |
ELISA Detection Limit Antibody detection limit dilution 1:32000. | |
Western Blot Approx 55kDa band observed in Human Testis lysate (predicted MW of 58kDa according to NP_004118). Recommended for use at 0.5µg/ml. Primary incubation was for 1 hour. | |
Application Type Pep-ELISA, WB, IHC |
Goat Anti-GPS1 / COPS1 Antibody
$431.00
| SKU | Unit Size | Price |
|---|---|---|
Select a unit size:
Documents |




