Formulation Supplied at 0.5 mg/ml in Tris saline, 0.02% sodium azide, pH7.3 with 0.5% bovine serum albumin.
| |
Unit Size 100 µg | |
Storage Instructions Aliquot and store at -20°C. Minimize freezing and thawing. | |
Synonym / Alias Names glutathione S-transferase pi 1|glutathione transferase|fatty acid ethyl ester synthase III|deafness, X-linked 7|PI|FAEES3|DFN7|HGNC:4638|glutathione S-transferase pi|GST3|GSTP1 | |
Usage Summary Immunofluorescence: Strong expression of the protein seen in the nuclei and cytoplasm of A431 and U2OS cells. Recommended concentration: 10µg/ml.
Flow Cytometry: Flow cytometric analysis of A431 cells. Recommended concentration: 10ug/ml. | |
Accession ID NP_000843.1 | |
Blocking Peptide EBP06802 | |
Immunogen Peptide with sequence C-LADQGQSWKEEV, from the internal region of the protein sequence according to NP_000843.1. | |
Peptide Sequence C-LADQGQSWKEEV | |
Purification Method Purified from goat serum by ammonium sulphate precipitation followed by antigen affinity chromatography using the immunizing peptide. | |
Shipping Instructions Refrigerated | |
Predicted Species Human, Mouse, Rat, Dog, Cow | |
Reactive Species Human, Mouse, Rat, Dog | |
Human Gene ID 2950 | |
Product Grade ![]() | |
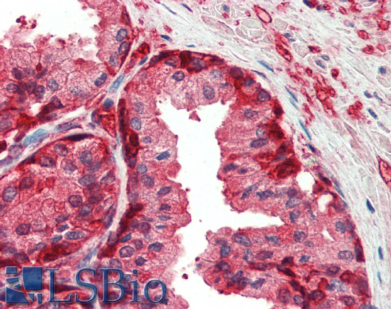
IHC Results Paraffin embedded Human Prostate. Recommended concentration: 5µg/ml. | |
ELISA Detection Limit Antibody detection limit dilution 1:32000. | |
Western Blot Approx 25kDa band observed in Human Kidney, Lung and Thymus lysates, lysates of cell lines HeLa, HEK293, Jurkat, CaCo-2, K562, NIH3T3, KNRK and MDCK, and, in nuclear lysates of cell lines HeLa, HEK293 and Jurkat (calculated MW of 23.4kDa according to Human NP_000843.1 and Rat NP_036709.1, 23.6kDa according to Mouse NP_038569.1 and 23.5kDa according to. Canine NP_001239096). Recommended concentration: 0.03-0.3µg/ml. Primary incubation 1 hour at room temperature. | |
Application Type Pep-ELISA, WB, IHC, IF, FC |
Goat Anti-GST3 / GSTP1 Antibody
$431.00
| SKU | Unit Size | Price |
|---|---|---|
Select a unit size:
Documents |







