Formulation Supplied at 0.5 mg/ml in Tris saline, 0.02% sodium azide, pH7.3 with 0.5% bovine serum albumin.
| |
Unit Size 100 µg | |
Storage Instructions Aliquot and store at -20°C. Minimize freezing and thawing. | |
Synonym / Alias Names putative MAPK activating protein PM27|glutamate transporter EEAC1-associated protein|dermal papilla derived protein 11|cytoskeleton related vitamin A responsive protein|PRA1 domain family 3|jmx|hp22|addicsin|PRAF3|HSPC127|DERP11|ADP-ribosylation-like factor 6 interacting protein 5|JWA|GTRAP3-18|ARL6IP5 | |
Usage Summary Immunofluorescence: Strong expression of the protein seen in the ER/ plasma membranes and cytoplasm of A431 cells. Recommended concentration: 10µg/ml.
Flow Cytometry: Flow cytometric analysis of A431 cells. Recommended concentration: 10ug/ml. | |
Accession ID NP_006398.1 | |
Blocking Peptide EBP05631 | |
Immunogen Peptide with sequence C-NRLTDYISKVKE, from the C Terminus of the protein sequence according to NP_006398.1. | |
Product Comments C2 passed G1 as 20kDa in HBR; C2P2 fail in _enh; try HBAM, HBCR, HBFC BP08/10/2021; 22+48kDa in HBAM-B104, faint 48kDa in HBAM-B201, multiple bannd in > 37kDa in both HBCR, multiple bands inclu 22kDa in both HBFC, opt in HBAM-B201 at 2ug/ml , rpt HBAM-B104 at 1ug/ml; try HBCC BP25/10/2021, 21kDA+multiple bands in HBAM-B201, 21+28+48kDA in HBAM, 55kDa in HBCC-E101, 50kDa in HBCC-E201, try both HBAMat 1ug/ml + peptide next try A431 and U251BP27/10/2021; 22+28+48kDA in both HBAM-B201 and blocked completely, 48+37+30kDa in A43-C10403, 70kDa in A43-C10404 (shrt exp), 60-70kDa in both U251 (shrt exp); HBAM as optimistic but in blocking; over to Jane BP01/11/2021 | |
Peptide Sequence C-NRLTDYISKVKE | |
Purification Method Purified from goat serum by ammonium sulphate precipitation followed by antigen affinity chromatography using the immunizing peptide. | |
Shipping Instructions Refrigerated | |
Predicted Species Human | |
Reactive Species Human | |
Human Gene ID 10550 | |
Product Grade ![]() | |
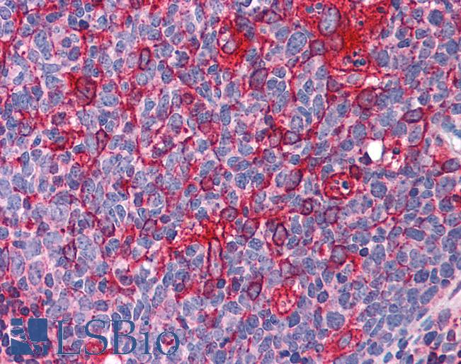
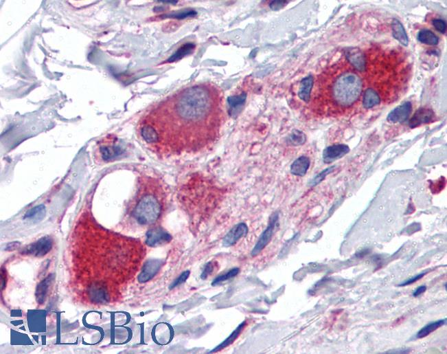
IHC Results Paraffin embedded Human Tonsil and Small Intestine. Recommended concentration: 3.75µg/ml. | |
ELISA Detection Limit Antibody detection limit dilution 1:32000. | |
Western Blot Approx 22kDa band observed in Human Cerebellumn lysates and in lysates of cell line K562 (calculated MW of 21.6kDa according to NP_006398.1). An additional band of 75-100kDa was also observed in some lysates.and was successfully blocked by incubation with the immunizing peptide. Recommended concentration: 0.3-1µg/ml. Primary incubation 1 hour at room temperature. | |
Application Type Pep-ELISA, WB, IHC, IF, FC |
Goat Anti-GTRAP3-18 / JWA Antibody
$431.00
| SKU | Unit Size | Price |
|---|---|---|
Select a unit size:
Documents |






