Formulation Supplied at 0.5 mg/ml in Tris saline, 0.02% sodium azide, pH7.3 with 0.5% bovine serum albumin.
| |
Unit Size 100 µg | |
Storage Instructions Aliquot and store at -20°C. Minimize freezing and thawing. | |
Synonym / Alias Names heat shock protein beta-8|E2-induced gene 1|spinal muscular atrophy, distal, adult, autosomal dominant|small stress protein-like protein HSP22|protein kinase H11|hereditary motor neuropathy, distal|heat shock 27kDa protein 8|Charcot-Marie-Tooth disease, spinal|HSP22|HMN2A|HMN2|H11|E2IG1|DHMN2|CMT2L|heat shock 22kDa protein 8|HSPB8 | |
Accession ID NP_055180.1 | |
Blocking Peptide EBP05677 | |
Immunogen Peptide with sequence NELPQDSQEVTCT, from the C Terminus of the protein sequence according to NP_055180.1. | |
Peptide Sequence NELPQDSQEVTCT | |
Purification Method Purified from goat serum by ammonium sulphate precipitation followed by antigen affinity chromatography using the immunizing peptide. | |
Shipping Instructions Refrigerated | |
Predicted Species Human | |
Reactive Species Human | |
Human Gene ID 26353 | |
Product Grade ![]() | |
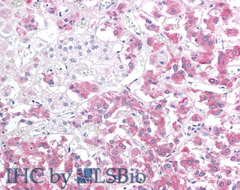
IHC Results Paraffin embedded Human Adrenal Gland and Tonsil. Recommended concentration: 10µg/ml. | |
ELISA Detection Limit Antibody detection limit dilution 1:32000. | |
Western Blot Approx 20-25kDa band seen in Human Skeletal Muscle lysate [Predicted MW of approx. 22kDa according to NP_055180]. Recommended for use at 0.5-1µg/ml. Primary incubated for 1 hour. | |
Application Type Pep-ELISA, WB, IHC |
Goat Anti-H11 / HSP22 Antibody
$431.00
| SKU | Unit Size | Price |
|---|---|---|
Select a unit size:
Documents |



