Formulation Supplied at 0.5 mg/ml in Tris saline, 0.02% sodium azide, pH7.3 with 0.5% bovine serum albumin.
| |
Unit Size 100 µg | |
Storage Instructions Aliquot and store at -20°C. Minimize freezing and thawing. | |
Synonym / Alias Names homeobox protein Hox-C6|homeobox protein Hox-3C|homeobox protein HHO.C8|homeobox protein CP25|homeo box C8 protein|homeo box C6|homeo box 3C|HOX3C|HOX3|HHO.C8|CP25|homeobox C6|HOXC6 | |
Accession ID NP_004494.1 | |
Blocking Peptide EBP12208 | |
Immunogen Peptide with sequence C-PNVALNSTAYDPVRH, from the internal region (near N Terminus) of the protein sequence according to NP_004494.1. | |
Product Comments This antibody is expected to recognize isoform 1 (NP_004494.1) only. | |
Peptide Sequence C-PNVALNSTAYDPVRH | |
Purification Method Purified from goat serum by ammonium sulphate precipitation followed by antigen affinity chromatography using the immunizing peptide. | |
Shipping Instructions Refrigerated | |
Predicted Species Human, Mouse, Rat, Dog, Pig, Cow | |
Reactive Species Human, Mouse, Rat, Pig | |
Human Gene ID 3223 | |
Mouse Gene ID 15425 | |
Rat Gene ID 252885 | |
Product Grade ![]() | |
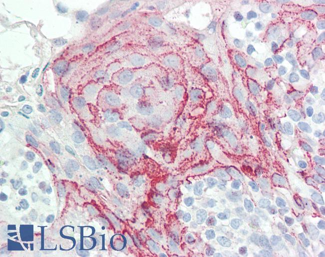
IHC Results Paraffin embedded Human Tonsil. Recommended concentration: 5µg/ml. | |
ELISA Detection Limit Antibody detection limit dilution 1:128000. | |
Western Blot Approx 26kDa band observed in Human Brain (Olfactory bulb) and in Rat and Pig Brain lysates (calculated MW of 26.9kDa according to NP_004494.1). In Mouse Brain lysates the band runs like a 27kDa band. Recommended concentration: 0.03-0.1µg/ml. Primary incubation was 1 hour. | |
Application Type Pep-ELISA, WB, IHC |
Goat Anti-HOXC6 (isoform 1) Antibody
$431.00
| SKU | Unit Size | Price |
|---|---|---|
Select a unit size:
Documents |




