Formulation Supplied at 0.5 mg/ml in Tris saline, 0.02% sodium azide, pH7.3 with 0.5% bovine serum albumin.
| |
Unit Size 100 µg | |
Storage Instructions Aliquot and store at -20°C. Minimize freezing and thawing. | |
Synonym / Alias Names tumor suppressor LUCA-1|plasma hyaluronidase|hyaluronidase 1|NAT6|MGC45987|LUCA1|HYAL-1|hyaluronoglucosaminidase 1 | |
Usage Summary Immunofluorescence: Strong expression of the protein seen in the cytoplasm of A431 and HeLa cells. Recommended concentration: 10µg/ml.
Flow Cytometry: Flow cytometric analysis of HepG2 cells. Recommended concentration: 10ug/ml. | |
Accession ID NP_009296.1; NP_695014.1; NP_695015.1; NP_695017.1; | |
Blocking Peptide EBP07871 | |
Immunogen Peptide with sequence ENTRTKESCQAIKEY, from the internal region of the protein sequence according to NP_009296.1; NP_695014.1; NP_695015.1; NP_695017.1;. | |
Product Comments This antibody is expected to recognise isoform 1 (NP_009296.1), isoform 3 (NP_695015.1) and isoform 5 (NP_695017.1). | |
Peptide Sequence ENTRTKESCQAIKEY | |
Purification Method Purified from goat serum by ammonium sulphate precipitation followed by antigen affinity chromatography using the immunizing peptide. | |
Shipping Instructions Refrigerated | |
Predicted Species Human, Mouse, Rat, Dog, Pig, Cow | |
Reactive Species Human | |
Human Gene ID 3373 | |
Product Grade ![]() | |
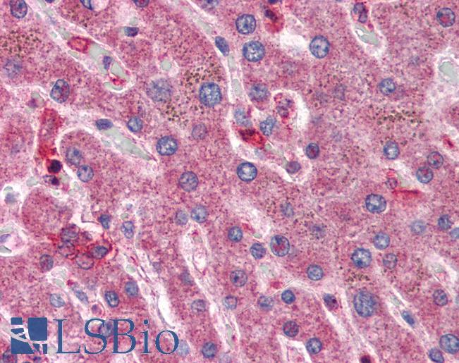
IHC Results Paraffin embedded Human Liver. Recommended concentration: 5µg/ml. | |
ELISA Detection Limit Antibody detection limit dilution 1:128000. | |
Application Type Pep-ELISA, IHC, IF, FC |
Goat Anti-Hyaluronidase 1 Antibody
$431.00
| SKU | Unit Size | Price |
|---|---|---|
Select a unit size:
Documents |




