Formulation Supplied at 0.5 mg/ml in Tris saline, 0.02% sodium azide, pH7.3 with 0.5% bovine serum albumin.
| |
Unit Size 100 µg | |
Storage Instructions Aliquot and store at -20°C. Minimize freezing and thawing. | |
Synonym / Alias Names isocitric dehydrogenase subunit gamma| isocitrate dehydrogenase, NAD(+)-specific, mitochondrial, gamma subunit| isocitrate dehydrogenase [NAD] subunit gamma, mitochondrial| OTTHUMP00000025988| OTTHUMP00000025987| OTTHUMP00000025984| NAD+-specific ICDH| NAD(+)-specific ICDH subunit gamma| NAD (H)-specific isocitrate dehydrogenase gamma subunit| IDH-gamma| H-IDHG| isocitrate dehydrogenase 3 (NAD+) gamma|IDH3G | |
Accession ID NP_004126.1; NP_777358.1 | |
Blocking Peptide EBP11000 | |
Immunogen Peptide with sequence C-DHLKLHSYATSIRK, from the internal region of the protein sequence according to NP_004126.1; NP_777358.1. | |
Product Comments This antibody is expected to recognize both reported isoforms (NP_004126.1; NP_777358.1). | |
Peptide Sequence C-DHLKLHSYATSIRK | |
Purification Method Purified from goat serum by ammonium sulphate precipitation followed by antigen affinity chromatography using the immunizing peptide. | |
Shipping Instructions Refrigerated | |
Predicted Species Human, Mouse, Rat, Dog, Pig, Cow | |
Reactive Species Human, Rat, Pig | |
Human Gene ID 3421 | |
Mouse Gene ID 15929 | |
Rat Gene ID 25179 | |
Product Grade ![]() | |
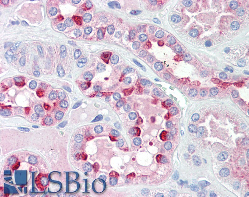
IHC Results Paraffin embedded Human Kidney. Recommended concentration: 5µg/ml. | |
ELISA Detection Limit Antibody detection limit dilution 1:16000. | |
Western Blot Approx 38kDa band observed in lysates of cell line MCF7 and of Rat and Pig Heart (calculated MW of 41.5kDa according to NP_777358.1). Recommended concentration: 0.5-2µg/ml. | |
Application Type Pep-ELISA, WB, IHC |
Goat Anti-IDH3G (aa337-350) Antibody
$431.00
| SKU | Unit Size | Price |
|---|---|---|
Select a unit size:
Documents |



