Formulation Supplied at 0.5 mg/ml in Tris saline, 0.02% sodium azide, pH7.3 with 0.5% bovine serum albumin.
| |
Unit Size 100 µg | |
Storage Instructions Aliquot and store at -20°C. Minimize freezing and thawing. | |
Synonym / Alias Names IFITM3|interferon induced transmembrane protein 3|1-8U|DSPA2b|IP15|dispanin subfamily A member 2b|interferon-induced transmembrane protein 3|interferon-inducible protein 1-8U | |
Accession ID NP_066362.2 | |
Blocking Peptide EBP12862 | |
Immunogen Peptide with sequence C-HNPAPPTSTVIHIRS, from the internal region of the protein sequence according to NP_066362.2. | |
Product Comments The immunizing peptide only differs by one residue from IFITM2 and therefore cross-reactivition of this antibody is to be expected. | |
Peptide Sequence C-HNPAPPTSTVIHIRS | |
Purification Method Purified from goat serum by ammonium sulphate precipitation followed by antigen affinity chromatography using the immunizing peptide. | |
Shipping Instructions Refrigerated | |
Predicted Species Human | |
Reactive Species Human | |
Human Gene ID 10410 | |
Product Grade ![]() | |
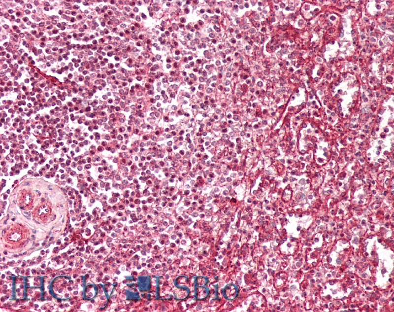
IHC Results Paraffin embedded Human Kidney and Spleen. Recommended concentration: 2.5µg/ml. | |
ELISA Detection Limit Antibody detection limit dilution 1:64000. | |
Western Blot Approx 17kDa band observed in lysates of cell line HeLa (calculated MW of 14.6kDa according to NP_066362.2). The observed molecular weight corresponds to the lipidated form. Recommended concentration: 0.3-1µg/ml. Primary incubation was 1 hour. | |
Application Type Pep-ELISA, WB, IHC |
Goat Anti-IFITM3 Antibody
$431.00
| SKU | Unit Size | Price |
|---|---|---|
Select a unit size:
Documents |



