Formulation Supplied at 0.5 mg/ml in Tris saline, 0.02% sodium azide, pH7.3 with 0.5% bovine serum albumin.
| |
Unit Size 100 µg | |
Storage Instructions Aliquot and store at -20°C. Minimize freezing and thawing. | |
Synonym / Alias Names interferon-gamma receptor alpha chain|immune interferon receptor 1|antiviral protein, type 2|IFN-gamma-R1|IFN-gamma receptor 1|CDw119|CD119 antigen|AVP, type 2|IFNGR|CD119|interferon gamma receptor 1|IFNGR1 | |
Usage Summary Immunofluorescence: Strong expression of the protein seen in the membranes of Caco-2 and THP-1 cells. Recommended concentration: 10µg/ml.
Flow Cytometry: Flow cytometric analysis of K562 cells. Recommended concentration: 10ug/ml. | |
Accession ID NP_000407.1; NP_001350455.1; NP_001350456.1 | |
Blocking Peptide EBP12101 | |
Immunogen Peptide with sequence C-SEIQYKILTQKED, from the internal region of the protein sequence according to NP_000407.1; NP_001350455.1; NP_001350456.1. | |
Peptide Sequence C-SEIQYKILTQKED | |
Purification Method Purified from goat serum by ammonium sulphate precipitation followed by antigen affinity chromatography using the immunizing peptide. | |
Shipping Instructions Refrigerated | |
Predicted Species Human | |
Reactive Species Human | |
Human Gene ID 3459 | |
Product Grade ![]() | |
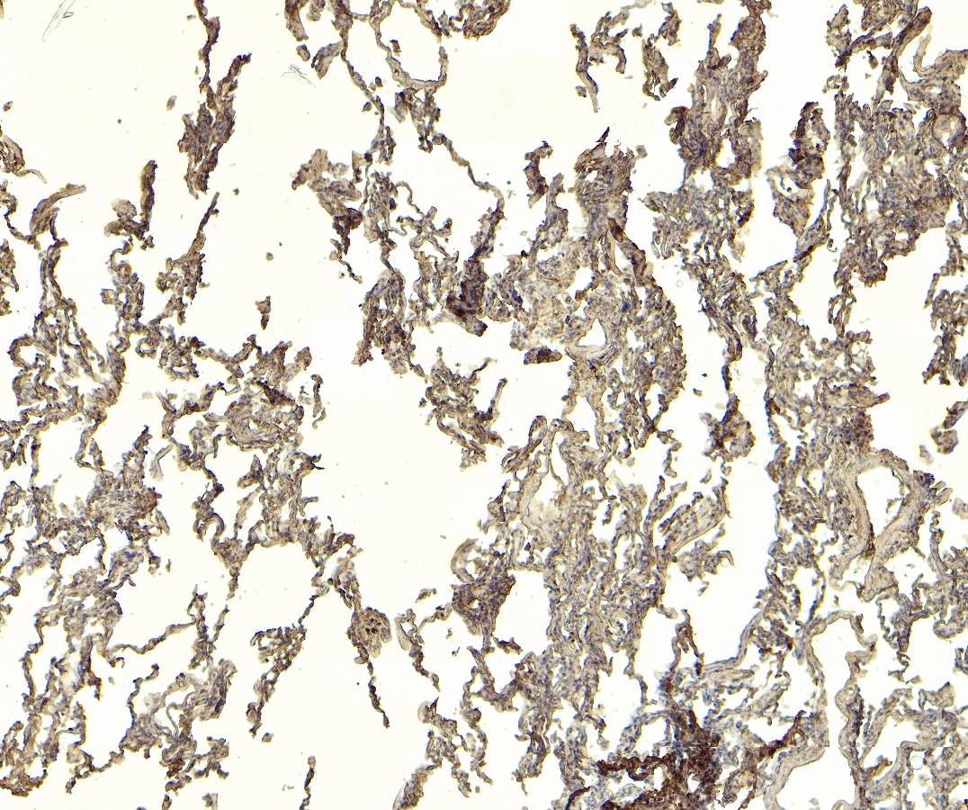
IHC Results Paraffin embedded Human Lung. Recommended concentration: 4-6µg/ml. | |
ELISA Detection Limit Antibody detection limit dilution 1:128000. | |
Western Blot Approx. 70kDa band observed in lysates of cell lines K562, Caco-2 and HepG2, and approx. 50kDa in Human Spleen lysates (calculated MW of 50.1kDa according to NP_001350456.1). The 70kDa observed molecular weight corresponds to the glycosylated form. Recommended concentration: 1-2µg/ml. Primary incubation 1 hour at room temperature. | |
Application Type Pep-ELISA, WB, IF, IHC, FC |
Goat Anti-IFNGR1 (aa181-193) Antibody
$431.00
| SKU | Unit Size | Price |
|---|---|---|
Select a unit size:
Documents |







