Formulation Supplied at 0.5 mg/ml in Tris saline, 0.02% sodium azide, pH7.3 with 0.5% bovine serum albumin.
| |
Unit Size 100 µg | |
Storage Instructions Aliquot and store at -20°C. Minimize freezing and thawing. | |
Synonym / Alias Names insulinase|insulysin|insulin-degrading enzyme|FLJ35968|INSULYSIN|IDE | |
Accession ID NP_004960.2; NP_001159418.1; NP_001309722.1; NP_001309723.1; NP_001309724.1; NP_001309726.1 | |
Blocking Peptide EBP07898 | |
Immunogen Peptide with sequence C-QQYNFDRDNTE, from the internal region of the protein sequence according to NP_004960.2; NP_001159418.1; NP_001309722.1; NP_001309723.1; NP_001309724.1; NP_001309726.1. | |
Product Comments This antibody is expected to recognize all reported isoforms (NP_004960.2; NP_001159418.1; NP_001309722.1; NP_001309723.1; NP_001309724.1; NP_001309726.1). Reported variants represent identical protein: NP_001309725.1, NP_001309724.1 | |
Peptide Sequence C-QQYNFDRDNTE | |
Purification Method Purified from goat serum by ammonium sulphate precipitation followed by antigen affinity chromatography using the immunizing peptide. | |
Shipping Instructions Refrigerated | |
Predicted Species Human, Dog | |
Reactive Species Human | |
Human Gene ID 3416 | |
Product Grade ![]() | |
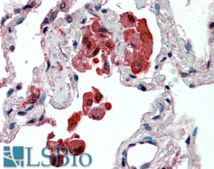
IHC Results Paraffin embedded Human Lung and Breast. Recommended concentration: 2.5µg/ml. | |
ELISA Detection Limit Antibody detection limit dilution 1:32000. | |
Western Blot Approx 110-120kDa band observed in lysates of cell line K562 (calculated MW of 118kDa according to NP_004960.1). Recommended concentration: 0.1-0.3µg/ml. Primary incubation was 1 hour. | |
Application Type Pep-ELISA, WB, IHC |
Goat Anti-Insulysin / Insulinase Antibody
$431.00
| SKU | Unit Size | Price |
|---|---|---|
Select a unit size:
Documents |



