Formulation Supplied at 0.5 mg/ml in Tris saline, 0.02% sodium azide, pH7.3 with 0.5% bovine serum albumin.
| |
Unit Size 100 µg | |
Storage Instructions Aliquot and store at -20°C. Minimize freezing and thawing. | |
Synonym / Alias Names zyme|serine protease 9|serine protease 18|protease M|neurosin|kallikrein-6|hK6|SP59|PRSS9|PRSS18|Klk7|Bssp|kallikrein-related peptidase 6|KLK6 | |
Usage Summary Immunofluorescence: Strong expression of the protein seen in A431 and U2OS cells. Recommended concentration: 10µg/ml.
Flow Cytometry: Flow cytometric analysis of A431 cells. Recommended concentration: 10ug/ml. | |
Accession ID NP_002765.1; NP_001012983.1 | |
Blocking Peptide EBP12265 | |
Immunogen Peptide with sequence C-KTADGDFPDTIQ, from the internal region of the protein sequence according to NP_002765.1; NP_001012983.1. | |
Product Comments This antibody is expected to recognize both reported isoforms (NP_002765.1; NP_001012983.1). Reported variants represent identical protein: NP_002765.1, NP_001012982.1. | |
Peptide Sequence C-KTADGDFPDTIQ | |
Purification Method Purified from goat serum by ammonium sulphate precipitation followed by antigen affinity chromatography using the immunizing peptide. | |
Shipping Instructions Refrigerated | |
Predicted Species Human | |
Reactive Species Human | |
Human Gene ID 5653 | |
Product Grade ![]() | |
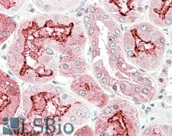
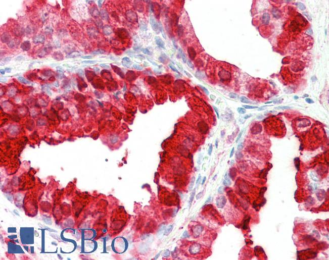
IHC Results Paraffin embedded Human Prostate and Kidney. Recommended concentration: 5µg/ml. | |
ELISA Detection Limit Antibody detection limit dilution 1:128000. | |
Application Type Pep-ELISA, IHC, IF, FC |
Goat Anti-kallikrein 6 Antibody
$464.00
| SKU | Unit Size | Price |
|---|---|---|
Select a unit size:
Documents |





