Formulation Supplied at 0.5 mg/ml in Tris saline, 0.02% sodium azide, pH7.3 with 0.5% bovine serum albumin.
| |
Unit Size 100 µg | |
Storage Instructions Aliquot and store at -20°C. Minimize freezing and thawing. | |
Synonym / Alias Names small conductance calcium-activated potassium channel protein 2|apamin-sensitive small-conductance Ca2+-activated potassium channel|hSK2|SKCA2|SK2|KCa2.2|potassium intermediate/small conductance calcium-activated channel, subfamily N, member 2|KCNN2 | |
Accession ID NP_067627.2; NP_740721.1 | |
Blocking Peptide EBP09678 | |
Immunogen Peptide with sequence C-ESYDKHVTYNAER, from the internal region of the protein sequence according to NP_067627.2; NP_740721.1. | |
Product Comments This antibody is expected to recognize both isoforms (NP_067627.2; NP_740721.1). | |
Peptide Sequence C-ESYDKHVTYNAER | |
Purification Method Purified from goat serum by ammonium sulphate precipitation followed by antigen affinity chromatography using the immunizing peptide. | |
Shipping Instructions Refrigerated | |
Predicted Species Human, Mouse, Rat, Dog, Cow | |
Reactive Species Human | |
Human Gene ID 3781 | |
Mouse Gene ID 140492 | |
Rat Gene ID 54262 | |
Product Grade ![]() | |
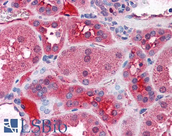
IHC Results Paraffin embedded Human Thyroid Gland and Kidney. Recommended concentration: 3.75µg/ml. | |
ELISA Detection Limit Antibody detection limit dilution 1:64000. | |
Western Blot Approx 70kDa and 23kDa bands observed in Human Liver lysates (calculated MW of 63.8kDa according to NP_067627.2 and of 26.3kDa according to NP_740721.1). Recommended concentration: 0.3-1µg/ml. | |
Application Type Pep-ELISA, WB, IHC |
Goat Anti-KCNN2 Antibody
$431.00
| SKU | Unit Size | Price |
|---|---|---|
Select a unit size:
Documents |



