Formulation Supplied at 0.5 mg/ml in Tris saline, 0.02% sodium azide, pH7.3 with 0.5% bovine serum albumin.
| |
Unit Size 100 µg | |
Storage Instructions Aliquot and store at -20°C. Minimize freezing and thawing. | |
Synonym / Alias Names keratin-18|keratin, type I cytoskeletal 18|cytokeratin-18|cytokeratin 18|cell proliferation-inducing protein 46|cell proliferation-inducing gene 46 protein|CK-18|K18|CYK18|keratin 18|KRT18 | |
Accession ID NP_000215.1 | |
Blocking Peptide EBP12358 | |
Immunogen Peptide with sequence C-EELDKYWSQQIE, from the internal region of the protein sequence according to NP_000215.1. | |
Product Comments Reported variants represent identical protein: NP_000215.1, NP_954657.1. | |
Peptide Sequence C-EELDKYWSQQIE | |
Purification Method Purified from goat serum by ammonium sulphate precipitation followed by antigen affinity chromatography using the immunizing peptide. | |
Shipping Instructions Refrigerated | |
Predicted Species Human, Mouse, Rat, Dog, Pig, Cow | |
Reactive Species Human, Pig | |
Human Gene ID 3875 | |
Mouse Gene ID 16668 | |
Rat Gene ID 294853 | |
Product Grade ![]() | |
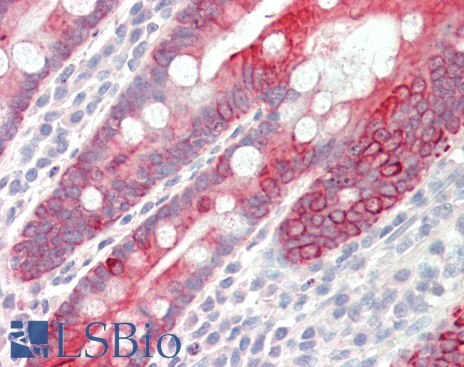
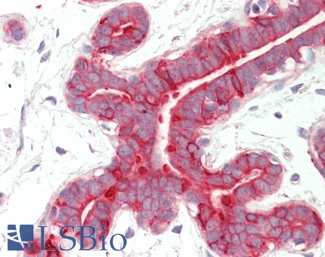
IHC Results Paraffin embedded Human Breast, Placenta and Small Intestine. Recommended concentration: 5µg/ml. | |
ELISA Detection Limit Antibody detection limit dilution 1:32000. | |
Western Blot Approx 48kDa band observed in lysates of cell lines A431, HeLa, MCF7 (calculated MW of 48.1kDa according to NP_000215.1) and approx 45kDa in lysates of Pig Liver (calculated MW of 47.4kDa according to XP_005652636.2). Recommended concentration: 0.1-0.3µg/ml. | |
Application Type Pep-ELISA, WB, IHC |
Goat Anti-keratin 18 Antibody
$431.00
| SKU | Unit Size | Price |
|---|---|---|
Select a unit size:
Documents |





