Formulation Supplied at 0.5 mg/ml in Tris saline, 0.02% sodium azide, pH7.3 with 0.5% bovine serum albumin.
| |
Unit Size 100 µg | |
Storage Instructions Aliquot and store at -20°C. Minimize freezing and thawing. | |
Synonym / Alias Names soluble KIT varian| proto-oncogene tyrosine-protein kinase Kit| proto-oncogene c-Kit| piebald trait protein| p145 c-kit| mast/stem cell growth factor receptor Kit| SCFR| PBT| CD117| C-Kit| v-kit Hardy-Zuckerman 4 feline sarcoma viral oncogene homolog|KIT | |
Usage Summary Immunofluorescence: Strong expression of the protein seen in the cytoplasm/ membranes of HEK293 and HeLa cells. Recommended concentration: 10µg/ml.
Flow Cytometry: Flow cytometric analysis of MCF7 cells. Recommended concentration: 10ug/ml. | |
Accession ID NP_000213.1; NP_001087241.1 | |
Blocking Peptide EBP12145 | |
Immunogen Peptide with sequence KRDSFICSKQEDH, from the internal region of the protein sequence according to NP_000213.1; NP_001087241.1. | |
Product Comments This antibody is expected to recognize both reported isoforms (NP_000213.1; NP_001087241.1). | |
Peptide Sequence KRDSFICSKQEDH | |
Purification Method Purified from goat serum by ammonium sulphate precipitation followed by antigen affinity chromatography using the immunizing peptide. | |
Shipping Instructions Refrigerated | |
Predicted Species Human, Dog, Pig, Cow | |
Reactive Species Human | |
Human Gene ID 3815 | |
Product Grade ![]() | |
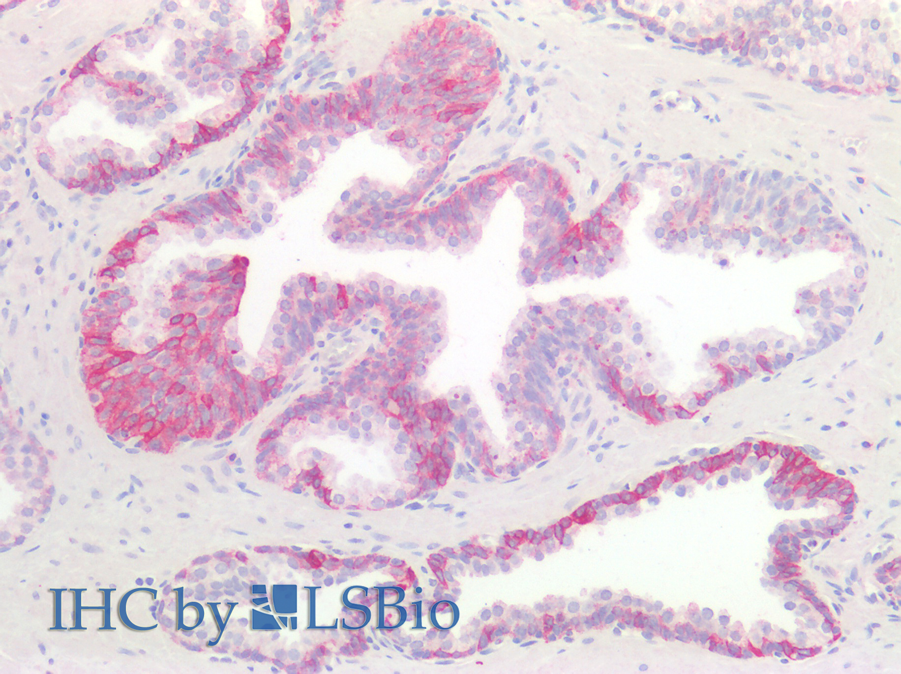
IHC Results Paraffin embedded Human Prostate. Recommended concentration: 10µg/ml. | |
ELISA Detection Limit Antibody detection limit dilution 1:128000. | |
Western Blot Approx 110kDa band observed in Human Brain (Hippocampus) lysates (calculated MW of 110kDa according to NP_000213.1). An additional band of unknown identity was also consistently observed at 35kDa. This band was successfully blocked by incubation with the immunizing peptide. Recommended concentration: 1-3µg/ml. Primary incubation 1 hour at room temperature. | |
Application Type Pep-ELISA, WB, IF, IHC, FC |
Goat Anti-KIT / CD117 Antibody
$464.00
| SKU | Unit Size | Price |
|---|---|---|
Select a unit size:
Documents |





