Formulation Supplied at 0.5 mg/ml in Tris saline, 0.02% sodium azide, pH7.3 with 0.5% bovine serum albumin.
| |
Unit Size 100 µg | |
Storage Instructions Aliquot and store at -20°C. Minimize freezing and thawing. | |
Synonym / Alias Names SRP1-alpha|RAG cohort protein 1|QIP2|importin subunit alpha-2|pendulin|karyopherin subunit alpha-2|importin-alpha-P1|importin alpha 2|importin alpha 1|RAG cohort 1|karyopherin alpha 2 (RAG cohort 1, importin alpha 1)|SRP1alpha|RCH1|IPOA1|KPNA2 | |
Usage Summary Immunofluorescence: Strong expression of the protein seen in U2OS and A549 cells. Recommended concentration: 10µg/ml.
Flow Cytometry: Flow cytometric analysis of A549 cells. Recommended concentration: 10ug/ml. | |
Accession ID NP_002257.1 | |
Blocking Peptide EBP06233 | |
Immunogen Peptide with sequence C-QVQDGAPGTFNF, from the C Terminus of the protein sequence according to NP_002257.1. | |
Peptide Sequence C-QVQDGAPGTFNF | |
Purification Method Purified from goat serum by ammonium sulphate precipitation followed by antigen affinity chromatography using the immunizing peptide. | |
Shipping Instructions Refrigerated | |
Predicted Species Human, Mouse, Rat, Dog | |
Reactive Species Human, Rat | |
Human Gene ID 3838 | |
Mouse Gene ID 16647 | |
Rat Gene ID 85245 | |
Product Grade ![]() | |
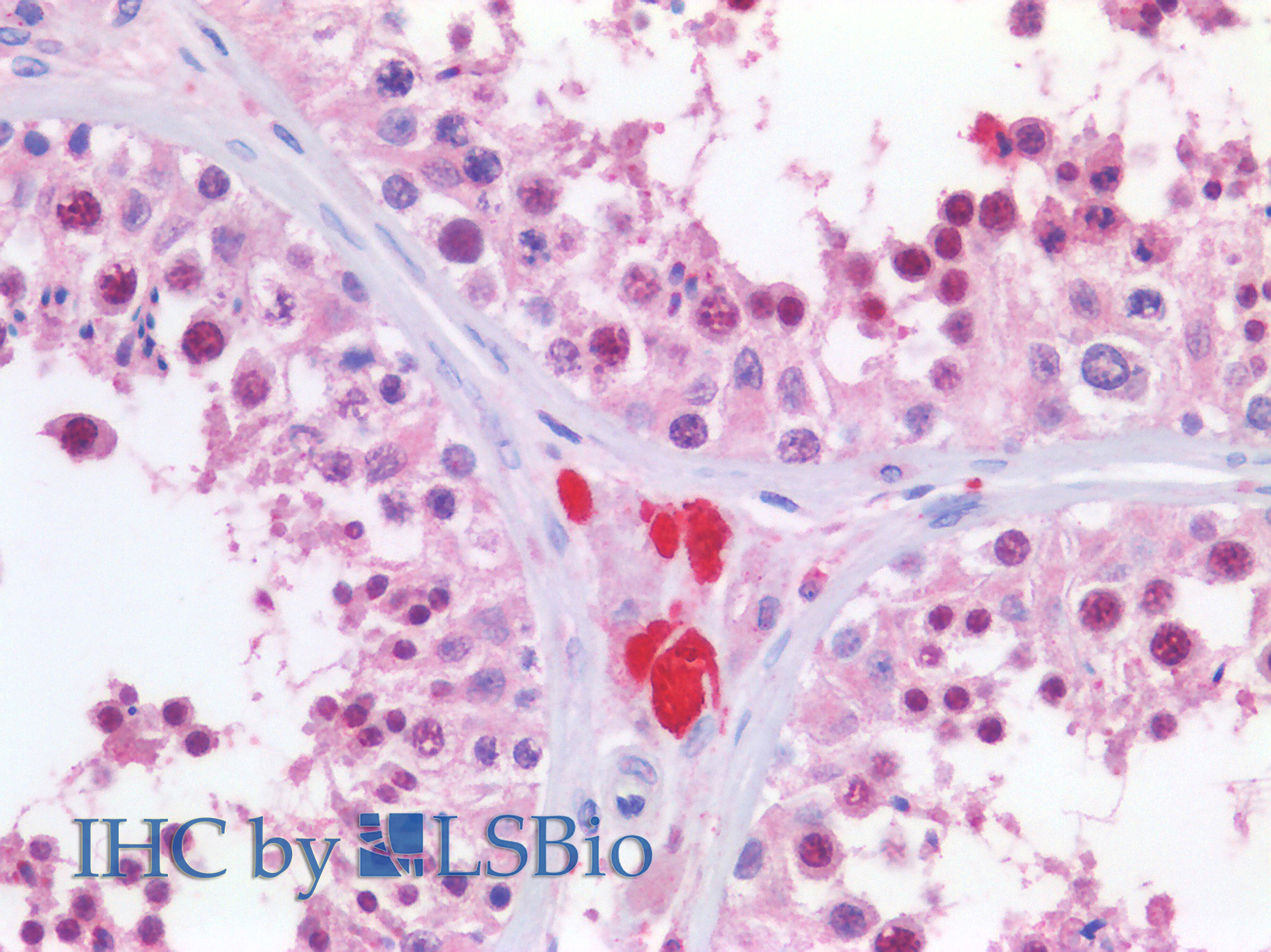
IHC Results Paraffin embedded Human Testis. Recommended concentration: 5µg/ml. | |
ELISA Detection Limit Antibody detection limit dilution 1:32000. | |
Western Blot Approx 55kDa band observed in lysates of cell lines CaCo-2, Jurkat, and KNRK, and approx. 58kDa in lysates of cell lines MCF7 and A549 (calculated MW of 57.9kDa according to Human NP_002257.1 and Rat NP_001257731.1). Recommended concentration 0.03-0.1µg/ml. Primary incubation 1 hour at room temperature. | |
Application Type Pep-ELISA, WB, IHC, IF, FC |
Goat Anti-KPNA2 / IPOA1 Antibody
$431.00
| SKU | Unit Size | Price |
|---|---|---|
Select a unit size:
Selected References [{"pmid": 23973294, "intro": "This antibody (previous batch) has been successfully used in Western blot on Mouse:", "title": "The nuclear accumulation of alpha-synuclein is mediated by importin alpha and promotes neurotoxicity by accelerating the cell cycle.", "author": "Ma KL, Song LK, Yuan YH, Zhang Y, Han N, Gao K, Chen NH", "journal": "Neuropharmacology. 2014 Jul;82:132-42"}, {"pmid": 36861403, "intro": "This antibody has been successfully used in WB on Human:", "title": "Characterization of the nuclear import of the human CHD4-NuRD complex.", "author": "Helen Hoffmeister, Simon Holzinger, Marie-Sofie Dürr, Astrid Bruckmann, Susanne Schindler, Regina Gröbner-Ferreira, Reinhard Depping and Gernot Längst", "journal": "Cell Sci. 2023 Apr 1;136(7):jcs260724."}, {"pmid": 1, "intro": "This antibody has been successfully used in the following paper:", "title": "Acetylation of nuclear localization signal controls importin-mediated nuclear transport of Ku70", "author": "Fujimoto H, Ikuta T, Koike A and Koike M", "journal": "https://doi.org/10.1101/403485 (August 29, 2018)"}] |
Documents |





