Formulation Supplied at 0.5 mg/ml in Tris saline, 0.02% sodium azide, pH7.3 with 0.5% bovine serum albumin.
| |
Unit Size 100 µg | |
Storage Instructions Aliquot and store at -20°C. Minimize freezing and thawing. | |
Synonym / Alias Names LAFPTPase|lafora PTPase|glucan phosphatase|MELF|EPM2|epilepsy, progressive myoclonus type 2A, Lafora disease (laforin)|EPM2A|laforin|epilepsy, progressive myoclonus type 2, Lafora disease (laforin) | |
Usage Summary Immunofluorescence: Strong expression of the protein seen in HeLa cells. Recommended concentration: 10µg/ml.
Flow Cytometry: Flow cytometric analysis of HeLa cells. Recommended concentration: 10ug/ml. | |
Accession ID NP_005661.1; NP_001018051.1; NP_001346986.1; NP_001355059.1 | |
Blocking Peptide EBP08570 | |
Immunogen Peptide with sequence C-EATGHTNEMKHTTD, from the internal region of the protein sequence according to NP_005661.1; NP_001018051.1; NP_001346986.1; NP_001355059.1. | |
Product Comments This antibody is expected to recognize iall reported isoforms listed. | |
Peptide Sequence C-EATGHTNEMKHTTD | |
Purification Method Purified from goat serum by ammonium sulphate precipitation followed by antigen affinity chromatography using the immunizing peptide. | |
Shipping Instructions Refrigerated | |
Predicted Species Human, Mouse, Rat, Cow | |
Reactive Species Human, Mouse, Rat | |
Human Gene ID 7957 | |
Mouse Gene ID 13853 | |
Rat Gene ID 680683 | |
Product Grade ![]() | |
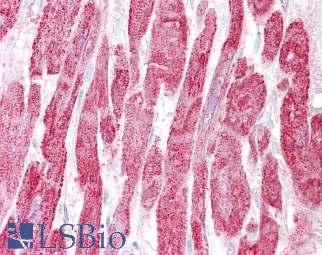
IHC Results Paraffin embedded Human Cerebellum and Heart. Recommended concentration: 2.5µg/ml. | |
ELISA Detection Limit Antibody detection limit dilution 1:16000. | |
Western Blot Approx. 38-40kDa band observed in Human Cerebellum, Heart and Skeletal Muscle lysates and in Mouse and Rat Brain lysates (calculated MW of 37.2kDa according to Human NP_005661.1, 37.0kDa according to Mouse NP_034276.2 and 37.1kDa according to Rat NP_001263691.1). Recommended concentration: 0.03-0.5µg/ml. Primary incubation 1 hour at room temperature. | |
Application Type Pep-ELISA, WB, IHC, IF, FC |
Goat Anti-Laforin (isoform a) Antibody
$431.00
| SKU | Unit Size | Price |
|---|---|---|
Select a unit size:
Documents |





