Formulation Supplied at 0.5 mg/ml in Tris saline, 0.02% sodium azide, pH7.3 with 0.5% bovine serum albumin.
| |
Unit Size 100 µg | |
Storage Instructions Aliquot and store at -20°C. Minimize freezing and thawing. | |
Synonym / Alias Names MLN50|Lasp-1|LIM and SH3 protein 1|LASP1 | |
Accession ID NP_006139.1 | |
Blocking Peptide EBP08165 | |
Immunogen Peptide with sequence C-PERRDSQDGSSYR, from the internal region of the protein sequence according to NP_006139.1. | |
Peptide Sequence C-PERRDSQDGSSYR | |
Purification Method Purified from goat serum by ammonium sulphate precipitation followed by antigen affinity chromatography using the immunizing peptide. | |
Shipping Instructions Refrigerated | |
Predicted Species Human, Dog | |
Reactive Species Human | |
Human Gene ID 3927 | |
Product Grade ![]() | |
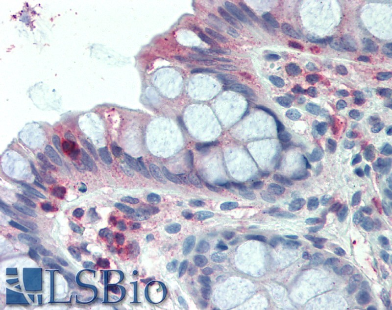
IHC Results Paraffin embedded Human Colon and Small Intestine. Recommended concentration: 2.5µg/ml. | |
ELISA Detection Limit Antibody detection limit dilution 1:32000. | |
Western Blot Approx 36kDa band observed in Human Kidney lysates (calculated MW of 29.7kDa according to NP_006139.1). The observed molecular weight corresponds to earlier findings in literature with different antibodies (Schreiber et al, Gene. 1998 Jan 30;207(2):171-5; PMID: 9511759). Recommended concentration: 0.03-0.1µg/ml. | |
Application Type Pep-ELISA, WB, IHC |
Goat Anti-LASP1 (internal region) Antibody
$431.00
| SKU | Unit Size | Price |
|---|---|---|
Select a unit size:
Documents |



