Formulation Supplied at 0.5 mg/ml in Tris saline, 0.02% sodium azide, pH7.3 with 0.5% bovine serum albumin.
| |
Unit Size 100 µg | |
Storage Instructions Aliquot and store at -20°C. Minimize freezing and thawing. | |
Synonym / Alias Names renal carcinoma antigen NY-REN-46|lactate dehydrogenase H chain|LDH heart subunit|L-lactate dehydrogenase B chain|TRG-5|LDHBD|LDH-H|LDH-B|lactate dehydrogenase B|LDHB | |
Accession ID NP_002291.1 | |
Blocking Peptide EBP12394 | |
Immunogen Peptide with sequence C-EEATVPNNKIT, from the internal region (near N terminus) of the protein sequence according to NP_002291.1. | |
Product Comments Reported variants represent identical protein: NP_002291.1, NP_001167568.1. | |
Peptide Sequence C-EEATVPNNKIT | |
Purification Method Purified from goat serum by ammonium sulphate precipitation followed by antigen affinity chromatography using the immunizing peptide. | |
Shipping Instructions Refrigerated | |
Predicted Species Human | |
Reactive Species Human | |
Human Gene ID 3945 | |
Product Grade ![]() | |
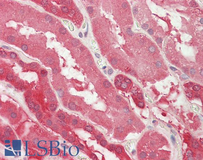
IHC Results Paraffin embedded Human Kidney. Recommended concentration: 5µg/ml. | |
ELISA Detection Limit Antibody detection limit dilution 1:4000. | |
Western Blot Approx 35kDa band observed in Human Heart and Kidney lysates (calculated MW of 36.6kDa according to NP_002291.1). Recommended concentration: 0.3-1µg/ml. | |
Application Type Pep-ELISA, WB, IHC |
Goat Anti-LDHB (aa15-25) Antibody
$431.00
| SKU | Unit Size | Price |
|---|---|---|
Select a unit size:
Documents |


