Formulation Supplied at 0.5 mg/ml in Tris saline, 0.02% sodium azide, pH7.3 with 0.5% bovine serum albumin.
| |
Unit Size 100 µg | |
Storage Instructions Aliquot and store at -20°C. Minimize freezing and thawing. | |
Synonym / Alias Names LDHX|LDH3|lactate dehydrogenase C|MGC111073|LDHC | |
Accession ID NP_002292.1; NP_059144.1 | |
Blocking Peptide EBP07978 | |
Immunogen Peptide with sequence C-DSDKEHWKNVHKQ, from the internal region of the protein sequence according to NP_002292.1; NP_059144.1. | |
Product Comments Both variants represent identical product (NP_002292.1 and NP_059144.1). | |
Peptide Sequence C-DSDKEHWKNVHKQ | |
Purification Method Purified from goat serum by ammonium sulphate precipitation followed by antigen affinity chromatography using the immunizing peptide. | |
Shipping Instructions Refrigerated | |
Predicted Species Human, Mouse | |
Reactive Species Human, Mouse | |
Human Gene ID 3948 | |
Mouse Gene ID 16833 | |
Product Grade ![]() | |
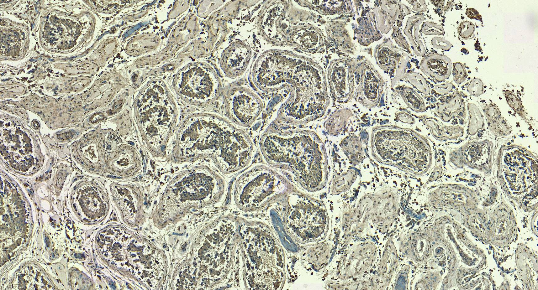
IHC Results Paraffin embedded Human Testis. Recommended concentration: 5-6µg/ml. | |
ELISA Detection Limit Antibody detection limit dilution 1:1000. | |
Western Blot Approx 35kDa band observed in Mouse Testis lysates (calculated MW of 35.9kDa according to Mouse NP_038608.1). Recommended concentration: 0.3-1µg/ml. Primary incubation was 1 hour. | |
Application Type Pep-ELISA, WB, IHC |
Goat Anti-LDHC (aa 221 – 233) Antibody
$431.00
| SKU | Unit Size | Price |
|---|---|---|
Select a unit size:
Documents |



