Formulation Supplied at 0.5 mg/ml in Tris saline, 0.02% sodium azide, pH7.3 with 0.5% bovine serum albumin.
| |
Unit Size 100 µg | |
Storage Instructions Aliquot and store at -20°C. Minimize freezing and thawing. | |
Synonym / Alias Names OTTHUMP00000198698|MLPLI|melanoma-derived LPL inhibitor|LIF|leukemia inhibitory factor (cholinergic differentiation factor)|leukemia inhibitory factor|human interleukin in DA cells|HILDA|hepatocyte-stimulating factor III|differentiation-stimulating factor|differentiation-inducing factor|differentiation stimulating factor|differentiation inhibitory activity|DIA|D factor|cholinergic differentiation factor|CDF | |
Usage Summary Flow Cytometry: Flow cytometric analysis of HepG2 cells. Recommended concentration: 10ug/ml. | |
Accession ID NP_002300.1 | |
Blocking Peptide EBP11863 | |
Immunogen Peptide with sequence RLCSKYHVGHVDVT, from the internal region of the protein sequence according to NP_002300.1. | |
Peptide Sequence RLCSKYHVGHVDVT | |
Purification Method Purified from goat serum by ammonium sulphate precipitation followed by antigen affinity chromatography using the immunizing peptide. | |
Shipping Instructions Refrigerated | |
Predicted Species Human | |
Reactive Species Human | |
Human Gene ID 3976 | |
Product Grade ![]() | |
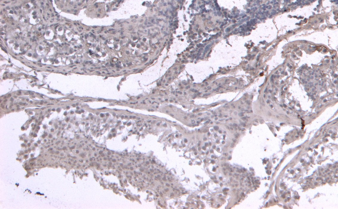
IHC Results Paraffin embedded Human Testis. Recommended concentration: 6µg/ml. | |
ELISA Detection Limit Antibody detection limit dilution 1:128000. | |
Application Type Pep-ELISA, FC, IHC |
Goat Anti-LIF Antibody
$431.00
| SKU | Unit Size | Price |
|---|---|---|
Select a unit size:



