Formulation Supplied at 0.5 mg/ml in Tris saline, 0.02% sodium azide, pH7.3 with 0.5% bovine serum albumin.
| |
Unit Size 100 µg | |
Storage Instructions Aliquot and store at -20°C. Minimize freezing and thawing. | |
Synonym / Alias Names tyramine oxidase|amine oxidase (flavin-containing)|adrenalin oxidase|MAO, platelet|MAO, brain|RP1-201D17__B.1|MGC26382|HGNC:6834|monoamine oxidase B|MAOB | |
Usage Summary Immunofluorescence: Strong expression of the protein seen in the nuclei and cytoplasm of HeLa cells. Recommended concentration: 10µg/ml.
Flow Cytometry: Flow cytometric analysis of HepG2 cells. Recommended concentration: 10ug/ml. | |
Accession ID NP_000889.3 | |
Blocking Peptide EBP06984 | |
Immunogen Peptide with sequence C-HKARKLARLTKEE, from the internal region of the protein sequence according to NP_000889.3. | |
Product Comments This antibody is not expected to cross-react with MAOA. | |
Peptide Sequence C-HKARKLARLTKEE | |
Purification Method Purified from goat serum by ammonium sulphate precipitation followed by antigen affinity chromatography using the immunizing peptide. | |
Shipping Instructions Refrigerated | |
Predicted Species Human, Mouse, Rat, Dog, Pig, Cow | |
Reactive Species Human, Mouse | |
Human Gene ID 4129 | |
Mouse Gene ID 109731 | |
Product Grade ![]() | |
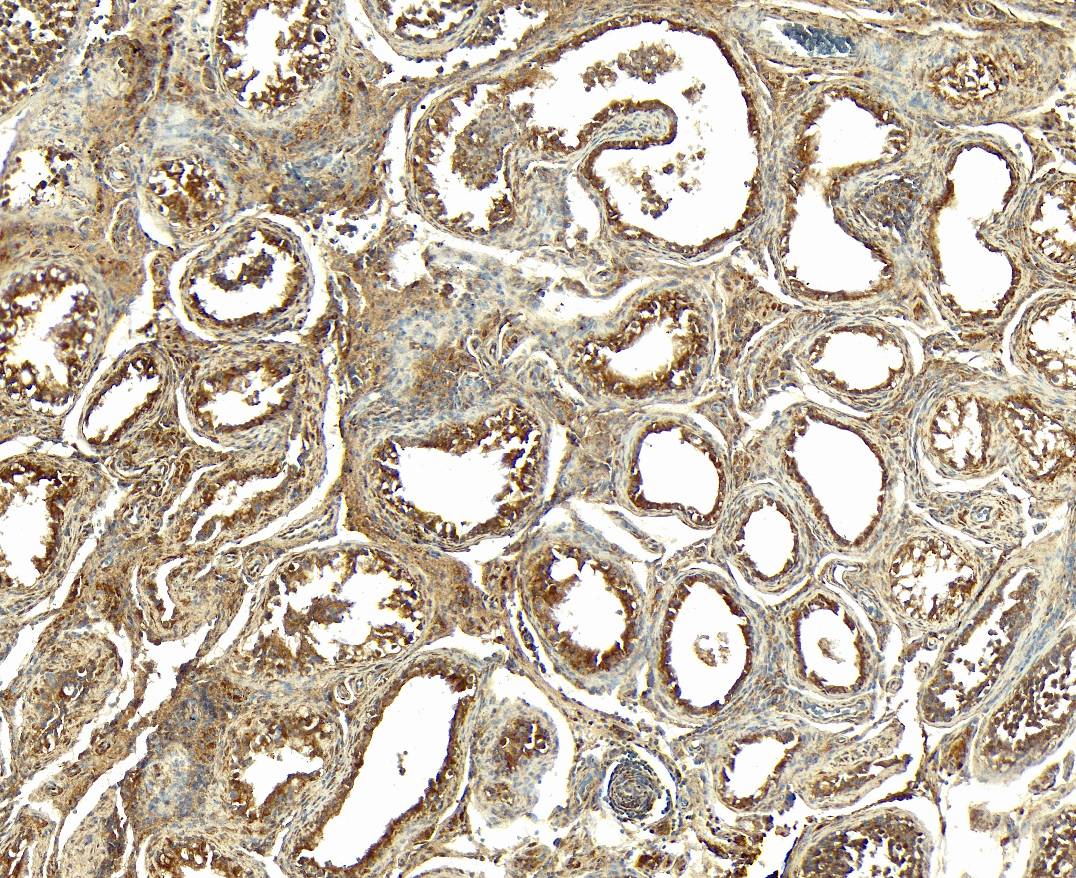
IHC Results Paraffin embedded Human Testis. Recommended concentration: 4-5µg/ml. | |
ELISA Detection Limit Antibody detection limit dilution 1:32000. | |
Western Blot Approx 60kDa band observed in Human and Mouse Liver lysates and approx. 55-60kDa in Human Testis and Breast cancer lysates (calculated MW of 58.8kDa according to NP_000889.3). Recommended concentration: 0.1-0.3µg/ml. Primary incubation 1 hour at room temperature. | |
Application Type Pep-ELISA, WB, IF, IHC, FC |
Goat Anti-MAOB Antibody
$431.00
| SKU | Unit Size | Price |
|---|---|---|
Select a unit size:
Documents |






