Formulation Supplied at 0.5 mg/ml in Tris saline, 0.02% sodium azide, pH7.3 with 0.5% bovine serum albumin.
| |
Unit Size 100 µg | |
Storage Instructions Aliquot and store at -20°C. Minimize freezing and thawing. | |
Synonym / Alias Names RNF60|FXY2|FLJ41813|FLJ37715|RP6-191P20.2|tripartite motif protein 1|midin 2|FXY2|midline 2|TRIM1|MID2 | |
Accession ID NP_036348.2; NP_438112.2 | |
Blocking Peptide EBP05823 | |
Immunogen Peptide with sequence QESPYVSGMKTCH, from the C Terminus of the protein sequence according to NP_036348.2; NP_438112.2. | |
Product Comments This antibody is expected to recognise both human isoforms of this protein. | |
Peptide Sequence QESPYVSGMKTCH | |
Purification Method Purified from goat serum by ammonium sulphate precipitation followed by antigen affinity chromatography using the immunizing peptide. | |
Shipping Instructions Refrigerated | |
Predicted Species Human, Mouse, Rat, Dog, Pig, Cow | |
Reactive Species Human | |
Human Gene ID 11043 | |
Mouse Gene ID 23947 | |
Product Grade ![]() | |
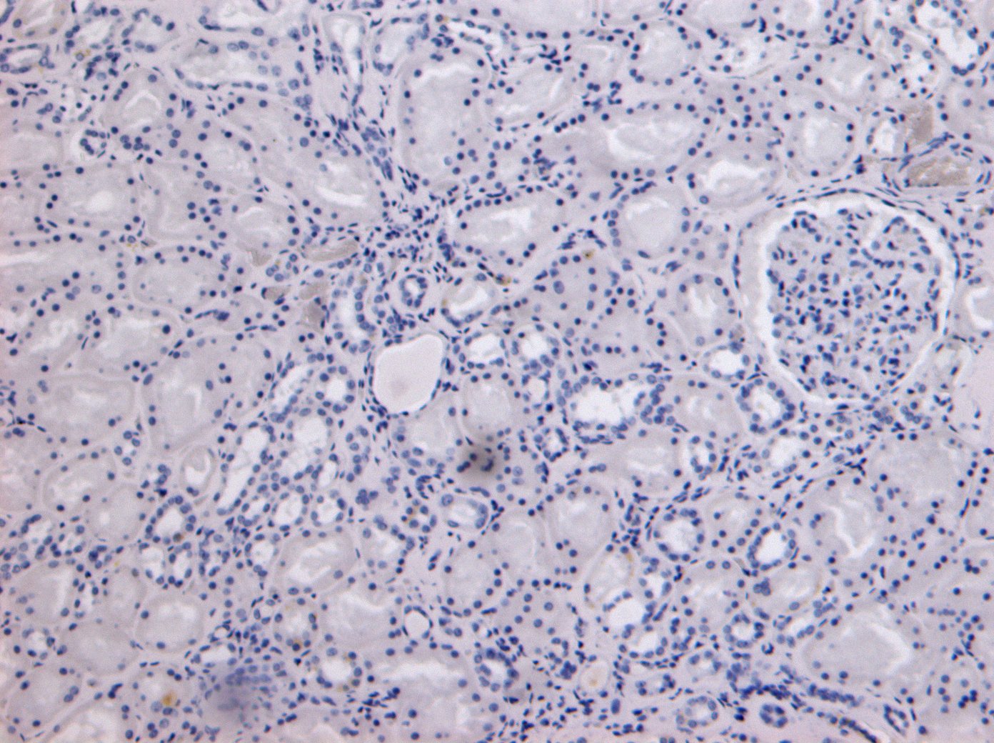
IHC Results Paraffin embedded Human Kidney. Recommended concentration: 8µg/ml. | |
ELISA Detection Limit Antibody detection limit dilution 1:4000. | |
Application Type Pep-ELISA, IHC |
Goat Anti-MID2 / TRIM1 Antibody
$431.00
| SKU | Unit Size | Price |
|---|---|---|
Select a unit size:
Documents |


