Formulation Supplied at 0.5 mg/ml in Tris saline, 0.02% sodium azide, pH7.3 with 0.5% bovine serum albumin.
| |
Unit Size 100 µg | |
Storage Instructions Aliquot and store at -20°C. Minimize freezing and thawing. | |
Synonym / Alias Names L-dopachrome tautomerase|L-dopachrome isomerase|phenylpyruvate tautomerase|glycosylation-inhibiting factor|MMIF|GLIF|GIF|HGNC:7097|macrophage migration inhibitory factor (glycosylation-inhibiting factor)|MIF | |
Accession ID NP_002406.1 | |
Blocking Peptide EBP06765 | |
Immunogen Peptide with sequence C-NAANVGWNNSTFA, from the C Terminus of the protein sequence according to NP_002406.1. | |
Peptide Sequence C-NAANVGWNNSTFA | |
Purification Method Purified from goat serum by ammonium sulphate precipitation followed by antigen affinity chromatography using the immunizing peptide. | |
Shipping Instructions Refrigerated | |
Predicted Species Human, Rat, Mouse | |
Reactive Species Human | |
Human Gene ID 4282 | |
Product Grade ![]() | |
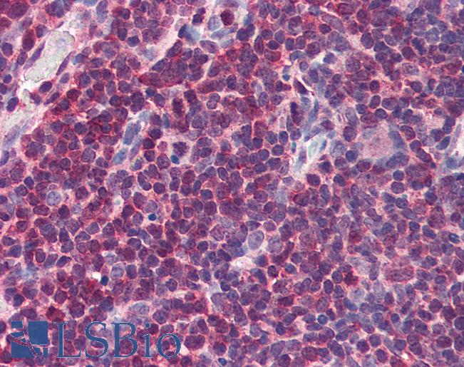
IHC Results Paraffin embedded Human Thymus. Recommended concentration: 5µg/ml. | |
ELISA Detection Limit Antibody detection limit dilution 1:128000. | |
Western Blot Approx 13kDa band observed in Human Lymph Node, and Thymus lysates and similar bands are observed in lysates of cell lines Daudi and Jurkat (calculated MW of 12.5kDa according to NP_002406.1). Recommended concentration: 0.01-0.03µg/ml. Primary incubation was 1 hour. | |
Application Type Pep-ELISA, WB, IHC |
Goat Anti-MIF Antibody
$431.00
| SKU | Unit Size | Price |
|---|---|---|
Select a unit size:
Documents |



