Formulation Supplied at 0.5 mg/ml in Tris saline, 0.02% sodium azide, pH7.3 with 0.5% bovine serum albumin.
| |
Unit Size 100 µg | |
Storage Instructions Aliquot and store at -20°C. Minimize freezing and thawing. | |
Synonym / Alias Names putative transmembrane GTPase|mitochondrial transmembrane GTPase Fzo-1|mitochondrial transmembrane GTPase FZO-2|hfzo2|hfzo1|MGC41806|FLJ20693|DKFZp762F247|mitofusin 1|MFN1 | |
Accession ID NP_284941.2 | |
Blocking Peptide EBP08139 | |
Immunogen Peptide with sequence C-NKAVQLENELEN, from the internal region of the protein sequence according to NP_284941.2. | |
Peptide Sequence C-NKAVQLENELEN | |
Purification Method Purified from goat serum by ammonium sulphate precipitation followed by antigen affinity chromatography using the immunizing peptide. | |
Shipping Instructions Refrigerated | |
Predicted Species Human, Mouse, Rat | |
Reactive Species Human | |
Human Gene ID 55669 | |
Product Grade ![]() | |
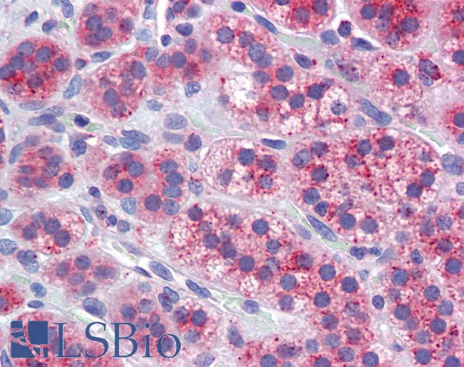
IHC Results Paraffin embedded Human Uterus and Adrenal Gland. Recommended concentration: 3.75µg/ml. | |
ELISA Detection Limit Antibody detection limit dilution 1:64000. | |
Application Type Pep-ELISA, IHC |
Goat Anti-Mitofusin 1 Antibody
$431.00
| SKU | Unit Size | Price |
|---|---|---|
Select a unit size:
Documents |


