Formulation Supplied at 0.5 mg/ml in Tris saline, 0.02% sodium azide, pH7.3 with 0.5% bovine serum albumin.
| |
Unit Size 100 µg | |
Storage Instructions Aliquot and store at -20°C. Minimize freezing and thawing. | |
Synonym / Alias Names MAPKAP kinase 2|MAPK-activated protein kinase 2|MAP kinase-activated protein kinase 2|MK2|MK-2|MAPKAP-K2|mitogen-activated protein kinase-activated protein kinase 2|MAPKAPK2 | |
Usage Summary Immunoprecipitation: MK2/MK3 double knockout MEFs retrovirally transduced wiith MK2 or empty vector were lysed from confluent plates and used for IP with 1.5ug EB11929 or EB11930. Western blots of the IP were labelled with rabbit anti-MK2 (CST). An approx 45kDa of MK2 is only precipitated from lysates of those KO MEFs that have been rescued by the MK2 expression construct as described in PMID: 19743408. Data obtained from Dr. M. B. Menon, Inst. Biochemistry, Hannover Medical School, Germany. | |
Accession ID NP_004750.1; NP_116584.2 | |
Blocking Peptide EBP11929 | |
Immunogen Peptide with sequence C-SRVLKEDKERWED, from the internal region (near C Terminus) of the protein sequence according to NP_004750.1; NP_116584.2. | |
Product Comments This antibody is expected to recognize both reported isoforms (NP_004750.1; NP_116584.2). | |
Peptide Sequence C-SRVLKEDKERWED | |
Purification Method Purified from goat serum by ammonium sulphate precipitation followed by antigen affinity chromatography using the immunizing peptide. | |
Shipping Instructions Refrigerated | |
Predicted Species Human, Mouse, Rat, Dog, Cow | |
Reactive Species Human, Mouse | |
Human Gene ID 9261 | |
Mouse Gene ID 17164 | |
Rat Gene ID 289014 | |
Product Grade ![]() | |
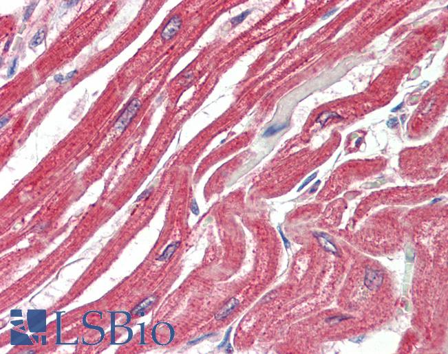
IHC Results Paraffin embedded Human Heart. Recommended concentration: 5µg/ml. | |
ELISA Detection Limit Antibody detection limit dilution 1:128000. | |
Western Blot Approx 60kDa band observed in Mouse Embryonic Fibroblasts (MEF) lysates, not present in the knockout MEFs and reappearing as a 45kDa band upon reintroduction of MK2 gene expression through viral transduction (calculated MW of 44.0kDa according to Mouse NP_032577.1). The observed molecular weights correspond to earlier findings in literature with different antibodies (Menon et al, Cell Motil Cytoskeleton. 2009 Dec;66(12):1041-7. PMID: 19743408). There is no cross-reactivity to MK5. Data obtained from Dr. M. B. Menon, Inst. Biochemistry, Hannover Medical School, Germany. Recommended concentration: 0.5-2µg/ml. | |
Application Type Pep-ELISA, WB, IP, IHC |
Goat Anti-MK2 / MAPKAPK2 Antibody
$431.00
| SKU | Unit Size | Price |
|---|---|---|
Select a unit size:
Documents |




