Goat Anti-KMT2D/MLL2 Antibody

$423.00

SKU Unit Size Price

Select a unit size:

SKU: EB05728
Formulation
Supplied at 0.5 mg/ml in Tris saline, 0.02% sodium azide, pH7.3 with 0.5% bovine serum albumin.
Unit Size
100 µg
Storage Instructions
Aliquot and store at -20°C. Minimize freezing and thawing.
Synonym / Alias Names
MLL2|myeloid/lymphoid or mixed-lineage leukemia 2|ALR|ALL1-related gene|AAD10|CAGL114|KMT2D|MLL4|TNRC21|ALL1-related|trinucleotide repeat containing 21|KMS|KABUK1|Lysine methyltransferase 2D|Methyl transferase 2D
Accession ID
NP_003473.3
Blocking Peptide
EBP05728
Immunogen
Peptide with sequence DSQNLAGEDKDSQ-C, from the N Terminus of the protein sequence according to NP_003473.3.
Product Comments
The immunizing peptide was designed from NP_003473.1. Since then the sequence has changed in the databases and currently differs at two locations in NP_003473.3.
Peptide Sequence
DSQNLAGEDKDSQ-C
Purification Method
Purified from goat serum by ammonium sulphate precipitation followed by antigen affinity chromatography using the immunizing peptide.
Shipping Instructions
Refrigerated
Predicted Species
Human
Reactive Species
Human
Human Gene ID
8085
Product Grade
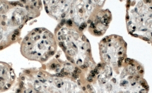
IHC Results
In paraffin embedded Human Placenta shows nuclear stainng in the trophoblasts . Similar nuclear patches are observed in Human Liver. Recommended concentration: 4-8µg/ml.
ELISA Detection Limit
Antibody detection limit dilution 1:16000.
Western Blot
Using our routine western blotting protocol we would not expect to reliably detect proteins larger than 250kDa (calculated MW of approx. 593KDa according to NP_003473.3).
Application Type
Pep-ELISA, IHC
Documents