Formulation Supplied at 0.5 mg/ml in Tris saline, 0.02% sodium azide, pH7.3 with 0.5% bovine serum albumin.
| |
Unit Size 100 µg | |
Storage Instructions Aliquot and store at -20°C. Minimize freezing and thawing. | |
Synonym / Alias Names WBP-7|WBP-7|mixed lineage leukemia 4|Lysine N-methyltransferase 2B|KIAA0304|histone-lysine N-methyltransferase 2B|CXXC10|myeloid/lymphoid or mixed-lineage leukemia 4|MLL1B|DYT28|WBP7|MLL2|HRX2|MLL4|KMT2B | |
Accession ID NP_055542.1 | |
Blocking Peptide EBP05729 | |
Immunogen Peptide with sequence CNCGAKRCRRFLN, from the C Terminus of the protein sequence according to NP_055542.1. | |
Peptide Sequence CNCGAKRCRRFLN | |
Purification Method Purified from goat serum by ammonium sulphate precipitation followed by antigen affinity chromatography using the immunizing peptide. | |
Shipping Instructions Refrigerated | |
Predicted Species Human, Mouse, Rat, Dog, Pig | |
Reactive Species Human | |
Human Gene ID 9757 | |
Mouse Gene ID 75410 | |
Product Grade ![]() | |
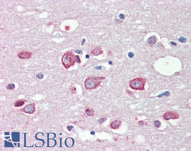
IHC Results Positive staining seen in paraffin embedded Human Testis and Human Brain Cortex. Recommended concentration: 5-10µg/ml. | |
ELISA Detection Limit Antibody detection limit dilution 1:128000. | |
Western Blot Using our routine western blotting protocol we would not expect to reliably detect proteins larger than 250kDa (calculated MWt. of approx. 294KDa according to NP_055542.1). | |
Application Type Pep-ELISA, IHC |
Goat Anti-KMT2B/MLL4 Antibody
$431.00
| SKU | Unit Size | Price |
|---|---|---|
Select a unit size:
Documents |


