Formulation Supplied at 0.5 mg/ml in Tris saline, 0.02% sodium azide, pH7.3 with 0.5% bovine serum albumin.
| |
Unit Size 100 µg | |
Storage Instructions Aliquot and store at -20°C. Minimize freezing and thawing. | |
Synonym / Alias Names MOGAT2|monoacylglycerol O-acyltransferase 2|MGC119185|MGC119184|MGC119183|MGAT2|FLJ22644|DGAT2L5|acyl CoA:monoacylglycerol acyltransferase 2 | |
Accession ID NP_079374.2 | |
Blocking Peptide EBP10288 | |
Immunogen Peptide with sequence C-KESAAHILNRK, from the internal region of the protein sequence according to NP_079374.2. | |
Peptide Sequence C-KESAAHILNRK | |
Purification Method Purified from goat serum by ammonium sulphate precipitation followed by antigen affinity chromatography using the immunizing peptide. | |
Shipping Instructions Refrigerated | |
Predicted Species Human, Dog, Cow, Pig | |
Reactive Species Human | |
Human Gene ID 80168 | |
Product Grade ![]() | |
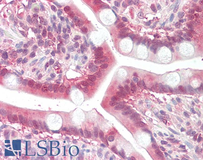
IHC Results Paraffin embedded Human Small Intestine. Recommended concentration: 3.75µg/ml. | |
ELISA Detection Limit Antibody detection limit dilution 1:32000. | |
Western Blot Approx 37kDa band observed in Human Colon, Duodenum and Ileum lysates (calculated MW of 38.2kDa according to NP_079374.2). Recommended concentration: 0.05-0.2µg/ml. Primary incubation was 1 hour. | |
Application Type Pep-ELISA, WB, IHC |
Goat Anti-MOGAT2 Antibody
$431.00
| SKU | Unit Size | Price |
|---|---|---|
Select a unit size:
Documents |


