Formulation Supplied at 0.5 mg/ml in Tris saline, 0.02% sodium azide, pH7.3 with 0.5% bovine serum albumin.
| |
Unit Size 100 µg | |
Storage Instructions Aliquot and store at -20°C. Minimize freezing and thawing. | |
Synonym / Alias Names lysophospholipase-like|MGL|MGLL|HU-K5|monoglyceride lipase | |
Usage Summary Immunofluorescence: Strong expression of the protein seen in the cytoplasm of U2OS and A431 cells. Recommended concentration: 10µg/ml.
Flow Cytometry: Flow cytometric analysis of A431 cells. Recommended concentration: 10ug/ml. | |
Accession ID NP_009214.1; NP_001003794.1 | |
Blocking Peptide EBP08850 | |
Immunogen Peptide with sequence C-QDLPHLVNADGQY, from the internal region (near N Terminus) of the protein sequence according to NP_009214.1; NP_001003794.1. | |
Product Comments This antibody is expected to recognize both reported isoforms (NP_009214.1; NP_001003794.1). | |
Peptide Sequence C-QDLPHLVNADGQY | |
Purification Method Purified from goat serum by ammonium sulphate precipitation followed by antigen affinity chromatography using the immunizing peptide. | |
Shipping Instructions Refrigerated | |
Predicted Species Human, Mouse, Rat, Dog, Cow | |
Reactive Species Human, Mouse | |
Human Gene ID 11343 | |
Mouse Gene ID 23945 | |
Rat Gene ID 29254 | |
Product Grade ![]() | |
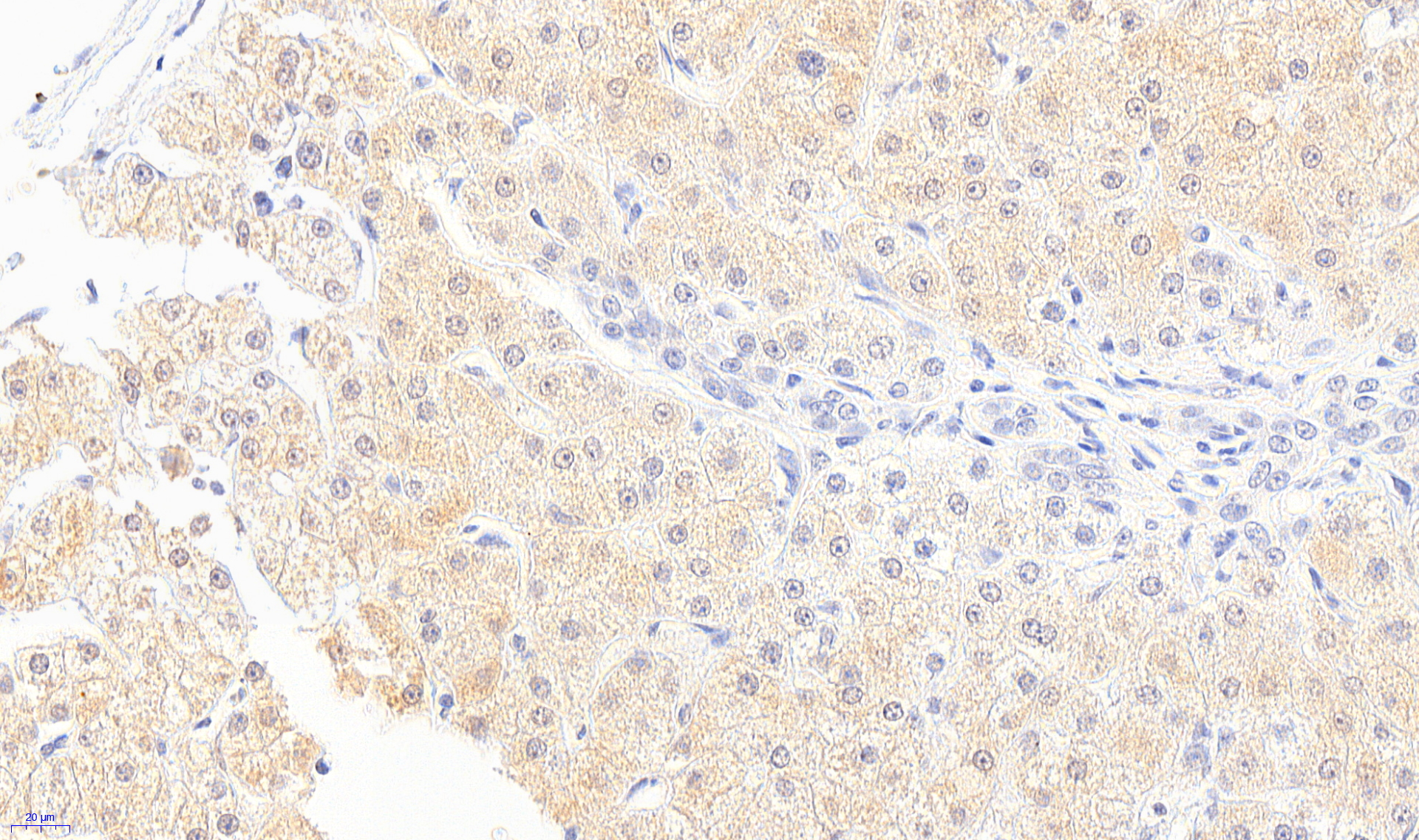
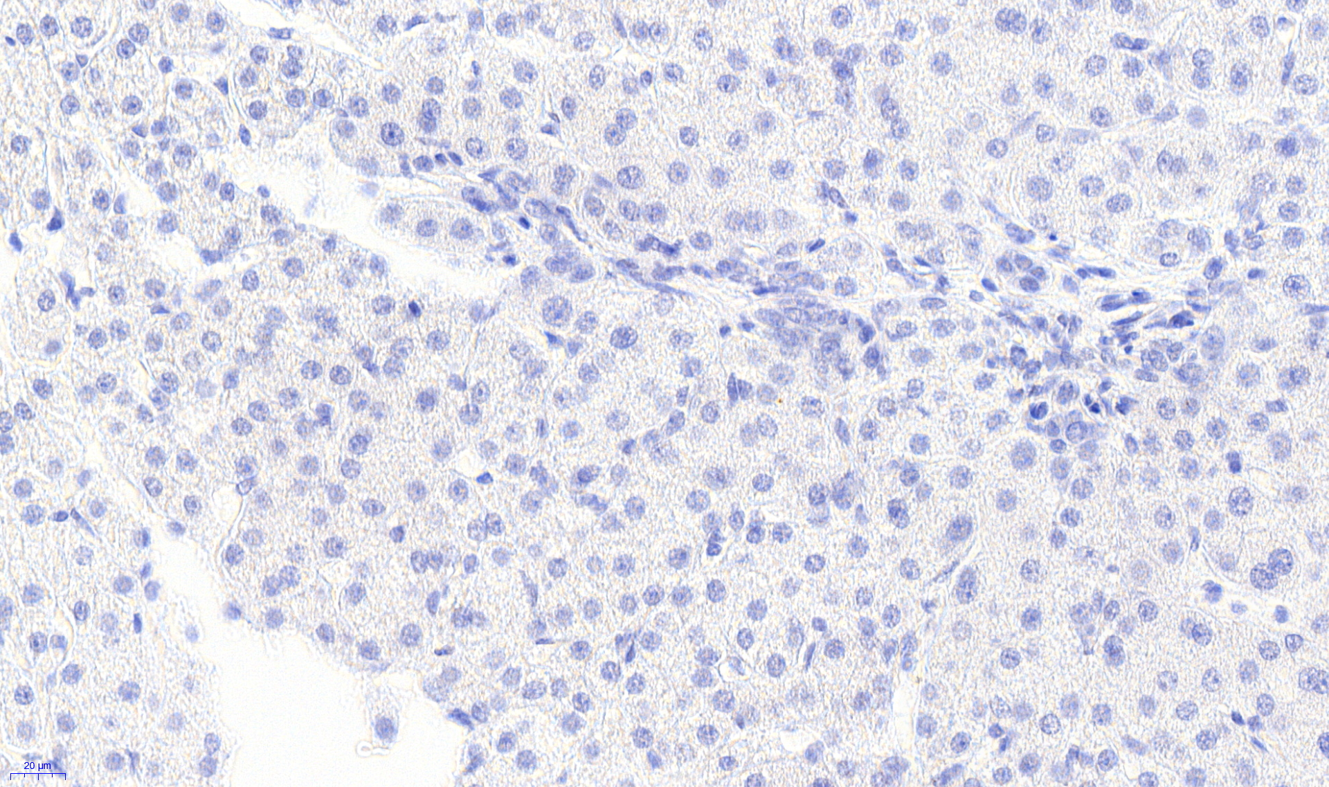
IHC Results In paraffin embedded Human Liver, expression of MGLL is detected in hepatocytes. Recommended concentration: 5µg/ml. | |
ELISA Detection Limit Antibody detection limit dilution 1:128000. | |
Western Blot Approx 35kDa band observed in Mouse Adipose lysates and in preliminary testing of Human, Cerebellum lysate and in lysate of cell line NIH3T3 (calculated MW of 33.3kDa according to NP_001003794.1). Recommended concentration: 0.3-1µg/ml. Primary incubation 1 hour at room temperature. Preliminary testing was unsuccessful on Rat for this particular batch. | |
Application Type Pep-ELISA, WB, IHC, IF, FC |
Goat Anti-Monoglyceride Lipase Antibody
$431.00
| SKU | Unit Size | Price |
|---|---|---|
Select a unit size:
Documents |






