Formulation Supplied at 0,5 mg/ml in Tris saline, 0,02% sodium azide, pH7,3 with 0,5% bovine serum albumin,
| |
Unit Size 100 µg | |
Storage Instructions Aliquot and store at -20°C, Minimize freezing and thawing, | |
Synonym / Alias Names canalicular multispecific organic anion transporter C|ATP-binding cassette, sub-family C, member 5|pABC11|SMRP|MOATC|MOAT-C|EST277145|ABC33|ATP-binding cassette, sub-family C (CFTR/MRP), member 5|ABCC5|DKFZp686C1782|MRP5 | |
Accession ID NP_005679,2; NP_001018881,1 | |
Blocking Peptide EBP08699 | |
Immunogen Peptide with sequence KDIDIGKEYIIP-C, from the N Terminus of the protein sequence according to NP_005679,2; NP_001018881,1, | |
Product Comments This antibody is expected to recognize both reported isoforms (NP_005679,2; NP_001018881,1), | |
Peptide Sequence KDIDIGKEYIIP-C | |
Purification Method Purified from goat serum by ammonium sulphate precipitation followed by antigen affinity chromatography using the immunizing peptide, | |
Shipping Instructions Refrigerated | |
Predicted Species Human, Mouse, Rat, Dog, Pig, Cow | |
Reactive Species Human | |
Human Gene ID 10057 | |
Mouse Gene ID 27416 | |
Rat Gene ID 116721 | |
Product Grade ![]() | |
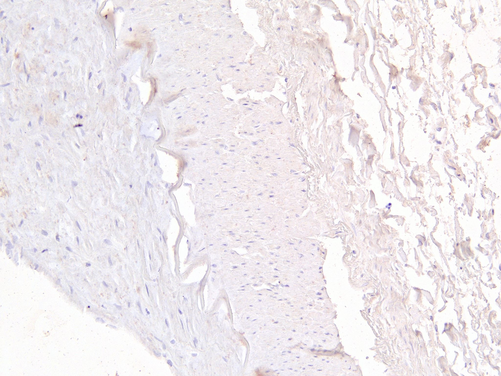
IHC Results Paraffin embedded Human Kidney, Recommended concentration: 5µg/ml, | |
ELISA Detection Limit Antibody detection limit dilution 1:128000, | |
Application Type Pep-ELISA, IHC |
Goat Anti-MRP5 Antibody
$431.00
| SKU | Unit Size | Price |
|---|---|---|
Select a unit size:
Documents |


