Formulation Supplied at 0.5 mg/ml in Tris saline, 0.02% sodium azide, pH7.3 with 0.5% bovine serum albumin.
| |
Unit Size 100 µg | |
Storage Instructions Aliquot and store at -20°C. Minimize freezing and thawing. | |
Synonym / Alias Names muscle specific ring finger 2|tripartite motif-containing 55|for muscle specific ring finger 2|ring finger protein 29|MURF-2|RNF29|TRIM55 | |
Usage Summary Immunofluorescence: Strong expression of the protein seen in the Golgi and cytoplasm of U2OS cells. Recommended concentration: 10µg/ml.
Flow Cytometry: Flow cytometric analysis of HeLa cells. Recommended concentration: 10ug/ml. | |
Accession ID NP_908973.1; NP_908974.1; NP_908975.1 | |
Blocking Peptide EBP05882 | |
Immunogen Peptide with sequence C-HIFSFSWLNSLNE, from the C Terminus of the protein sequence according to NP_908973.1; NP_908974.1; NP_908975.1. | |
Product Comments This antibody is expected to recognize isoforms 1, 3 and 4 (NP_908973.1, NP_908974.1and NP_908975.1 resp.). | |
Peptide Sequence C-HIFSFSWLNSLNE | |
Purification Method Purified from goat serum by ammonium sulphate precipitation followed by antigen affinity chromatography using the immunizing peptide. | |
Shipping Instructions Refrigerated | |
Predicted Species Human, Mouse, Rat, Dog, Pig | |
Reactive Species Human | |
Human Gene ID 84675 | |
Mouse Gene ID 381485 | |
Rat Gene ID 365751 | |
Product Grade ![]() | |
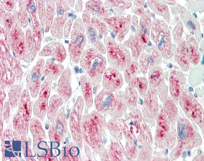
IHC Results Paraffin embedded Human Heart. Recommended concentration: 10µg/ml. | |
ELISA Detection Limit Antibody detection limit dilution 1:16000. | |
Western Blot Approx 58kDa band observed in lysates of cell line HeLa (calculated MW of 60.5kDa according to NP_908973.1). Recommended concentration: 1-3µg/ml. Primary incubation 1 hour at room temperature | |
Application Type Pep-ELISA, WB, IHC, IF, FC |
Goat Anti-MURF2 / TRIM55 Antibody
$464.00
| SKU | Unit Size | Price |
|---|---|---|
Select a unit size:
Documents |




