Formulation Supplied at 0.5 mg/ml in Tris saline, 0.02% sodium azide, pH7.3 with 0.5% bovine serum albumin.
| |
Unit Size 100 µg | |
Storage Instructions Aliquot and store at -20°C. Minimize freezing and thawing. | |
Synonym / Alias Names v-myb myeloblastosis viral oncogene homolog|v-myb avian myeloblastosis viral oncogene homolog|c-myb8B_CDS|c-myb14A_CDS|c-myb13A_CDS|c-myb10A_CDS|c-myb protein (140 AA)|Avian myeloblastosis viral (v-myb) oncogene homolog|efg|c-myb_CDS|v-myb myeloblastosis viral oncogene homolog (avian)|MYB|c-myb | |
Accession ID NP_001123645.1; NP_005366.2; NP_001123644.1; NP_001155128.1; NP_001155129.1; NP_001155130.1; NP_001155131.1 | |
Blocking Peptide EBP07870 | |
Immunogen Peptide with sequence C-QRHYNDEDPEKEKR, from the internal region of the protein sequence according to NP_001123645.1; NP_005366.2; NP_001123644.1; NP_001155128.1; NP_001155129.1; NP_001155130.1; NP_001155131.1. | |
Product Comments This antibody is expected to recognize isoforms 1-7 only (Numbering from NCBI RefSeq). (NP_001123645.1; NP_005366.2; NP_001123644.1; NP_001155128.1; NP_001155129.1; NP_001155130.1; NP_001155131.1) | |
Peptide Sequence C-QRHYNDEDPEKEKR | |
Purification Method Purified from goat serum by ammonium sulphate precipitation followed by antigen affinity chromatography using the immunizing peptide. | |
Shipping Instructions Refrigerated | |
Predicted Species Human, Mouse, Rat, Dog | |
Reactive Species Human | |
Human Gene ID 4602 | |
Mouse Gene ID 17863 | |
Product Grade ![]() | |
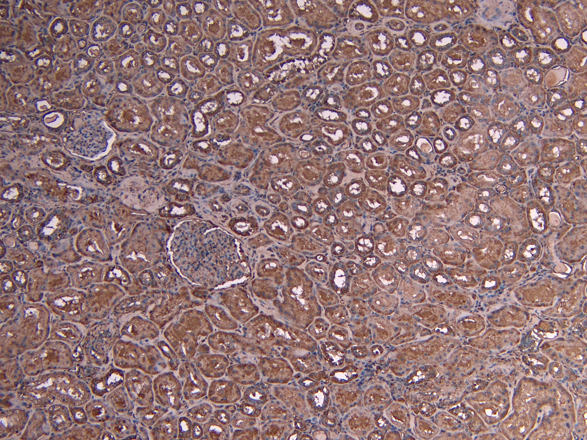
IHC Results Paraffin embedded Human Kidney. Recommended concentration: 4µg/ml. | |
ELISA Detection Limit Antibody detection limit dilution 1:4000. | |
Western Blot Approx 70kDa band observed in lysates of cell line MOLT4 and in preliminary testing of Human Bone Marrow and Lymph Node lysate (calculated MW of 72.3kDa according to NP_005366.2). Recommended concentration: 1-3µg/ml. | |
Application Type Pep-ELISA, WB, IHC |
Goat Anti-c-Myb (aa281-294) Antibody
$431.00
| SKU | Unit Size | Price |
|---|---|---|
Select a unit size:
Documents |



