Formulation Supplied at 0.5 mg/ml in Tris saline, 0.02% sodium azide, pH7.3 with 0.5% bovine serum albumin.
| |
Unit Size 100 µg | |
Storage Instructions Aliquot and store at -20°C. Minimize freezing and thawing. | |
Synonym / Alias Names DRG-1|tunicamycin-responsive protein|reducing agents and tunicamycin-responsive protein|protein regulated by oxygen-1|nickel-specific induction protein Cap43|differentiation-related gene 1 protein|N-myc downstream regulated gene 1 protein|TDD5|TARG1|RTP|RIT42|PROXY1|NMSL|NDR1|HMSNL|GC4|DRG1|CMT4D|CAP43, |N-myc downstream regulated gene 1|NDRG1 | |
Accession ID NP_006087.2 | |
Blocking Peptide EBP05707 | |
Immunogen Peptide with sequence GNSAGPKSMEVSC, from the C Terminus of the protein sequence according to NP_006087.2. | |
Product Comments The variants (NP_006087.2; NP_001128714.1) encode the same protein | |
Peptide Sequence GNSAGPKSMEVSC | |
Purification Method Purified from goat serum by ammonium sulphate precipitation followed by antigen affinity chromatography using the immunizing peptide. | |
Shipping Instructions Refrigerated | |
Predicted Species Human | |
Reactive Species Human | |
Human Gene ID 10397 | |
Mouse Gene ID 17990 | |
Product Grade ![]() | |
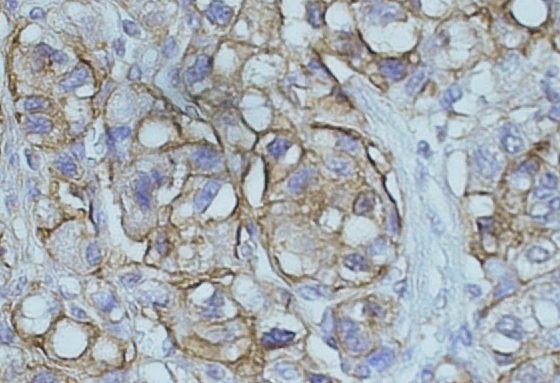
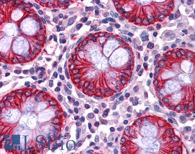
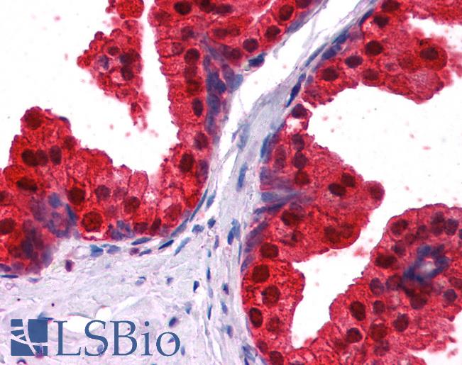
IHC Results In paraffin embedded Human hepatocelluar carcinoma shows strong labeling of membranes and weaker staining of cytoplasm. These observations are consistent with those obtained by different antibodies. Recommended concentration: 0.5-2µg/ml. Paraffin embedded Human Prostate and Colon. Recommended concentration: 2.5µg/ml. | |
ELISA Detection Limit Antibody detection limit dilution 1:32000. | |
Western Blot Approx 48kDa band observed in Human Kidney, and approx 50kDa band observed in Human Brain (Cerebellum) and Testis lysates (calculated MW of 42.8kDa according to NP_006087.2). This molecular weight is routinely observed by other sources. Recommended concentration: 0.1-0.3µg/ml. Primary incubation was 1 hour. Preliminary testing was unsuccessful on Mouse and Rat for this particular batch. | |
Application Type Pep-ELISA, WB, IHC |
Goat Anti-NDRG1 Antibody
$431.00
| SKU | Unit Size | Price |
|---|---|---|
Select a unit size:
Documents |




