Formulation Supplied at 0.5 mg/ml in Tris saline, 0.02% sodium azide, pH7.3 with 0.5% bovine serum albumin.
| |
Unit Size 100 µg | |
Storage Instructions Aliquot and store at -20°C. Minimize freezing and thawing. | |
Synonym / Alias Names neuronal pentraxin-1|NP-I|NP1|neuronal pentraxin I|NPTX1 | |
Accession ID NP_002513.2 | |
Blocking Peptide EBP12221 | |
Immunogen Peptide with sequence C-ERVKIETALTSLHQR, from the internal region of the protein sequence according to NP_002513.2. | |
Peptide Sequence C-ERVKIETALTSLHQR | |
Purification Method Purified from goat serum by ammonium sulphate precipitation followed by antigen affinity chromatography using the immunizing peptide. | |
Shipping Instructions Refrigerated | |
Predicted Species Human | |
Reactive Species Human | |
Human Gene ID 4884 | |
Product Grade ![]() | |
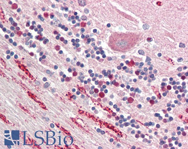
IHC Results Paraffin embedded Human Brain (Cerebellum). Recommended concentration: 5µg/ml. | |
ELISA Detection Limit Antibody detection limit dilution 1:128000. | |
Western Blot Approx 50kDa band observed in Human Brain (Amygdala and Frontal Cortex) lysates (calculated MW of 47.1kDa according to NP_002513.2). Recommended concentration: 1-3µg/ml. Primary incubation was 1 hour.
Additional bands of unknown identity was also consistently observed at 38 and 14kDa. These bands were successfully blocked by incubation with the immunizing peptide. | |
Application Type Pep-ELISA, WB, IHC |
Goat Anti-neuronal pentraxin 1 Antibody
$431.00
| SKU | Unit Size | Price |
|---|---|---|
Select a unit size:
Documents |


