Formulation Supplied at 0.5 mg/ml in Tris saline, 0.02% sodium azide, pH7.3 with 0.5% bovine serum albumin.
| |
Unit Size 100 µg | |
Storage Instructions Aliquot and store at -20°C. Minimize freezing and thawing. | |
Synonym / Alias Names DKFZp781N13156|serpin peptidase inhibitor, clade I (neuroserpin), member 1|protease inhibitor 12 (neuroserpin)|serine (or cysteine) proteinase inhibitor, clade I (neuroserpin), member 1|PI12|SERPINI1|neuroserpin | |
Usage Summary Flow Cytometry: Flow cytometric analysis of HeLa cells. Recommended concentration: 10ug/ml. | |
Accession ID NP_005016.1 | |
Blocking Peptide EBP06688 | |
Immunogen Peptide with sequence C-TMNTSGHDFEEL, from the C Terminus of the protein sequence according to NP_005016.1. | |
Product Comments Reported variants represent identical protein (NP_005016.1; NP_001116224.1). | |
Peptide Sequence C-TMNTSGHDFEEL | |
Purification Method Purified from goat serum by ammonium sulphate precipitation followed by antigen affinity chromatography using the immunizing peptide. | |
Shipping Instructions Refrigerated | |
Predicted Species Human, Mouse, Rat, Pig, Cow | |
Reactive Species Human, Mouse, Rat | |
Human Gene ID 5274 | |
Product Grade ![]() | |
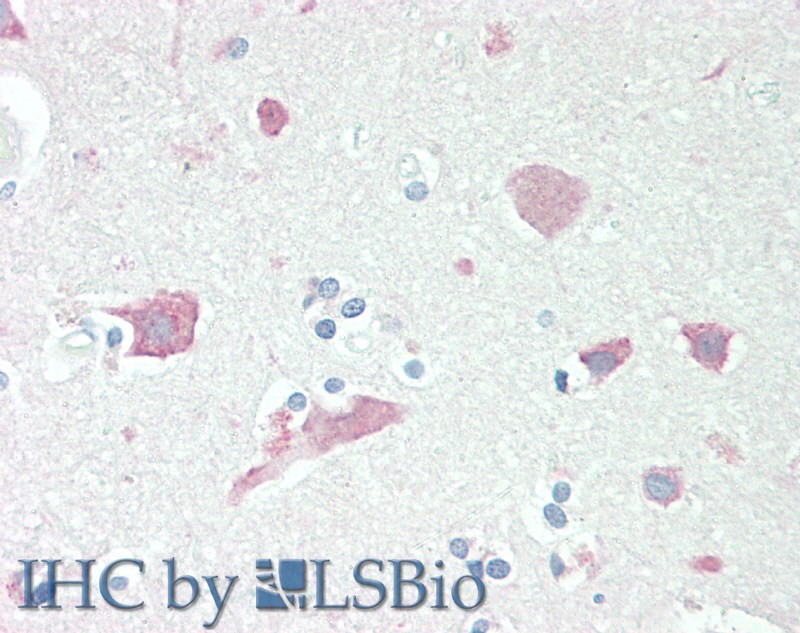
IHC Results Paraffin embedded Human Brain (Cortex). Recommended concentration: 5µg/ml. | |
ELISA Detection Limit Antibody detection limit dilution 1:32000. | |
Western Blot Approx 48kDa band observed in lysates of cell lines Kelly and K562 and in Human Placenta and Mouse and Rat Brain lysates (calculated MW of 46.4kDa according to Human NP_005016.1, Mouse NP_033276.1 and Rat NP_446231.1). Recommended concentration: 0.5-2ug/ml. Primary incubation 1 hour at room temperature. | |
Application Type Pep-ELISA, WB, IHC, FC |
Goat Anti-Neuroserpin Antibody
$431.00
| SKU | Unit Size | Price |
|---|---|---|
Select a unit size:
Documents |




