Formulation Supplied at 0.5 mg/ml in Tris saline, 0.02% sodium azide, pH7.3 with 0.5% bovine serum albumin.
| |
Unit Size 100 µg | |
Storage Instructions Aliquot and store at -20°C. Minimize freezing and thawing. | |
Synonym / Alias Names Notch homolog 3|Notch (Drosophila) homolog 3|CASIL|CADASIL|HGNC:7883|Notch homolog 3 (Drosophila)|NOTCH3 | |
Usage Summary Flow Cytometry: Flow cytometric analysis of HeLa cells. Recommended concentration: 10ug/ml. | |
Accession ID NP_000426.2 | |
Blocking Peptide EBP07031 | |
Immunogen Peptide with sequence C-QLGPQPEVTPKRQ, from the C Terminus of the protein sequence according to NP_000426.2. | |
Peptide Sequence C-QLGPQPEVTPKRQ | |
Purification Method Purified from goat serum by ammonium sulphate precipitation followed by antigen affinity chromatography using the immunizing peptide. | |
Shipping Instructions Refrigerated | |
Predicted Species Human, Mouse, Rat | |
Reactive Species Human | |
Human Gene ID 4854 | |
Product Grade ![]() | |
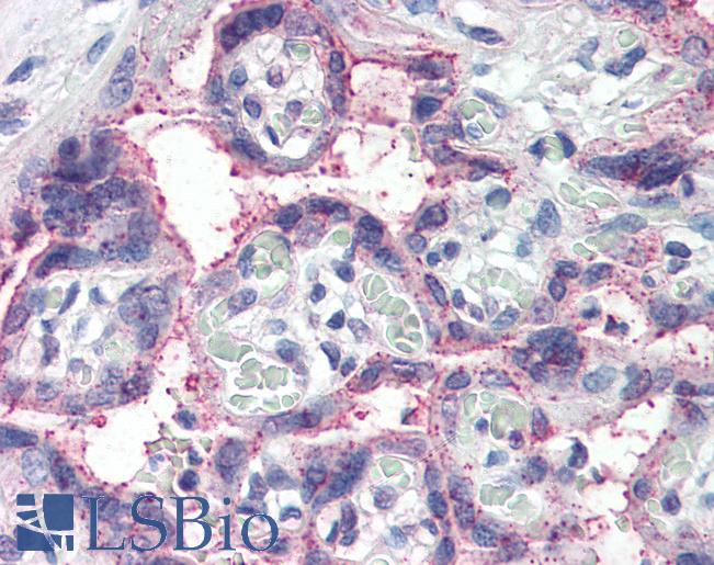
IHC Results In paraffin embedded Human Hippocampus shows select nuclear staining and weaker staining in different comparments of the neuronal cell bodies. Recommended concentration: 4-6µg/ml. Paraffin embedded Human Placenta. Recommended concentration: 5µg/ml. | |
ELISA Detection Limit Antibody detection limit dilution 1:16000. | |
Application Type Pep-ELISA, FC, IHC |
Goat Anti-NOTCH3 Antibody
$431.00
| SKU | Unit Size | Price |
|---|---|---|
Select a unit size:
Documents |



