Formulation Supplied at 0.5 mg/ml in Tris saline, 0.02% sodium azide, pH7.3 with 0.5% bovine serum albumin.
| |
Unit Size 100 µg | |
Storage Instructions Aliquot and store at -20°C. Minimize freezing and thawing. | |
Synonym / Alias Names osteoclast inhibitory lectin|lectin-like transcript 1|lectin-like NK cell receptor|C-type lectin superfamily 2, member D|C-type lectin related f|OCIL|LLT1|CLAX|C-type lectin domain family 2, member D|CLEC2D | |
Usage Summary Immunofluorescence: Strong expression of the protein seen in the cytoplasm of A431 cells. Recommended concentration: 10µg/ml.
Flow Cytometry: Flow cytometric analysis of Jurkat cells. Recommended concentration: 10ug/ml. | |
Accession ID NP_037401.1; NP_001004419.1; NP_001184246.1 | |
Blocking Peptide EBP09341 | |
Immunogen Peptide with sequence C-LLRYKGPSDH, from the Internal region of the protein sequence according to NP_037401.1; NP_001004419.1; NP_001184246.1. | |
Product Comments This antibody is expected to recognize all isoforms (NP_037401.1; NP_001004419.1; NP_001184246.1). | |
Peptide Sequence C-LLRYKGPSDH | |
Purification Method Purified from goat serum by ammonium sulphate precipitation followed by antigen affinity chromatography using the immunizing peptide. | |
Shipping Instructions Refrigerated | |
Predicted Species Human, Dog, Cow | |
Reactive Species Human | |
Human Gene ID 29121 | |
Product Grade ![]() | |
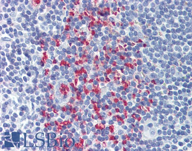
IHC Results Paraffin embedded Human Tonsil and Placenta. Recommended concentration: 3.75µg/ml. | |
ELISA Detection Limit Antibody detection limit dilution 1:16000. | |
Western Blot Approx 30-35kDa band observed in lysates of histiocytic lymphoma cell line U937 (calculated MW of 22.3kDa according to NP_001004419.1). This molecular weight is routinely observed by other sources. Recommended concentration: 0.3-1µg/ml. Primary incubation 1 hour at room temperature. | |
Application Type Pep-ELISA, WB, IF, FC, IHC |
Goat Anti-OCIL Antibody
$431.00
| SKU | Unit Size | Price |
|---|---|---|
Select a unit size:
Documents |





