Unit Size 100 µg | |
Synonym / Alias Names OT-R|oxytocin receptor|OXTR | |
Accession ID NP_000907.2 | |
Blocking Peptide EBP08990 | |
Immunogen Peptide with sequence C-RRLGETSASKKSN, from the C Terminus of the protein sequence according to NP_000907.2. | |
Peptide Sequence C-RRLGETSASKKSN | |
Shipping Instructions Refrigerated | |
Predicted Species Human | |
Reactive Species Human, Rat | |
Human Gene ID 5021 | |
Product Grade ![]() | |
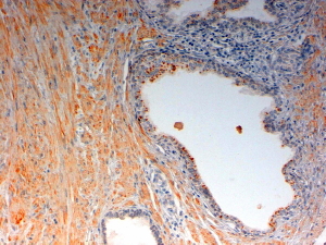
IHC Results In paraffin embedded Human Prostate Cancer shows staining of the stromal component of smooth muscle. Recommended concentration: 2-4µg/ml. | |
ELISA Detection Limit Antibody detection limit dilution 1:16000. | |
Western Blot Approx 75kDa band observed in Rat Uterus lysates, but none in Rat Skeletal Muscle lysates as expected (calculated MW of 42.9kDa according to Rat NP_037003.2. The observed molecular weight corresponds to earlier findings in literature with different antibodies (Whittington et al, Cell Tissue Res. 2004 Nov;318(2):375-82. PMID: 15459766). Recommended concentration: 1-3µg/ml. Primary incubation was 1 hour. | |
Application Type Pep-ELISA, WB, IHC |
-
This product has been discontinued.
Goat Anti-OXTR Antibody
$423.00
| SKU | Unit Size | Price |
|---|---|---|
Select a unit size:
Documents |




