Formulation Supplied at 0.5 mg/ml in Tris saline, 0.02% sodium azide, pH7.3 with 0.5% bovine serum albumin.
| |
Unit Size 100 µg | |
Storage Instructions Aliquot and store at -20°C. Minimize freezing and thawing. | |
Synonym / Alias Names prolyl 4-hydroxylase, alpha I subunit|P4HA|4-PH alpha-1|procollagen-proline, 2-oxoglutarate 4-dioxygenase (proline 4-hydroxylase), alpha polypeptide I|P4HA1 | |
Usage Summary Immunofluorescence: Strong expression of the protein seen in the ER and cytoplasm of A431 cells. Recommended concentration: 10µg/ml. | |
Accession ID NP_000908.2; NP_001017962.1 | |
Blocking Peptide EBP07666 | |
Immunogen Peptide with sequence C-DFARKDEPDAFKE, from the internal region of the protein sequence according to NP_000908.2; NP_001017962.1. | |
Product Comments This antibody is expected to recognise both reported isoforms (NP_000908.2 and NP_001017962.1). | |
Peptide Sequence C-DFARKDEPDAFKE | |
Purification Method Purified from goat serum by ammonium sulphate precipitation followed by antigen affinity chromatography using the immunizing peptide. | |
Shipping Instructions Refrigerated | |
Predicted Species Human, Dog, Cow | |
Reactive Species Human | |
Human Gene ID 5033 | |
Mouse Gene ID 18451 | |
Rat Gene ID 64475 | |
Product Grade ![]() | |
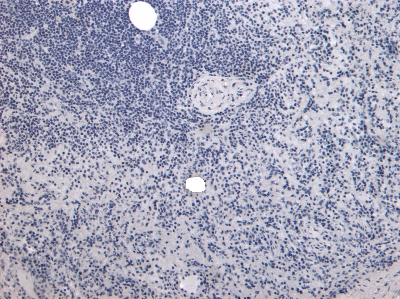
IHC Results Paraffin embedded Human Spleen. Recommended concentration: 7µg/ml. | |
ELISA Detection Limit Antibody detection limit dilution 1:128000. | |
Application Type Pep-ELISA, IF, IHC |
Goat Anti-P4HA1 Antibody
$431.00
| SKU | Unit Size | Price |
|---|---|---|
Select a unit size:
Documents |



