Formulation Supplied at 0.5 mg/ml in Tris saline, 0.02% sodium azide, pH7.3 with 0.5% bovine serum albumin.
| |
Unit Size 100 µg | |
Storage Instructions Aliquot and store at -20°C. Minimize freezing and thawing. | |
Synonym / Alias Names stardust|membrane protein, palmitoylated 5|MAGUK p55 subfamily member 5|stardust (Drosophila)|membrane protein, palmitoylated 5 (MAGUK p55 subfamily member 5)|FLJ12615|PALS1|MPP5 | |
Usage Summary Immunofluorescence: Strong expression of the protein seen in U2OS and HeLa cells. Recommended concentration: 10µg/ml.
Flow Cytometry: Flow cytometric analysis of HeLa cells. Recommended concentration: 10ug/ml. | |
Accession ID NP_071919.2; NP_001243479.1 | |
Blocking Peptide EBP06223 | |
Immunogen Peptide with sequence NKASPPFPLISNAQ-C, from the N Terminus of the protein sequence according to NP_071919.2; NP_001243479.1. | |
Peptide Sequence NKASPPFPLISNAQ-C | |
Purification Method Purified from goat serum by ammonium sulphate precipitation followed by antigen affinity chromatography using the immunizing peptide. | |
Shipping Instructions Refrigerated | |
Predicted Species Human, Cow, Dog, Pig | |
Reactive Species Human | |
Human Gene ID 64398 | |
Product Grade ![]() | |
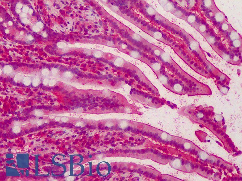
IHC Results Paraffin embedded Human Small Intestine and Kidney. Recommended concentration: 5µg/ml. | |
ELISA Detection Limit Antibody detection limit dilution 1:32000. | |
Western Blot Preliminary testing showed a band at approx 75kDa in Human Cerebellum lysate after 1µg/ml antibody staining (calculated MW of 73.4kDa according to NP_001243479.1). Primary incubation 1 hour at room temperature. | |
Application Type Pep-ELISA, IF, IHC, FC |
Goat Anti-PALS / MPP5 Antibody
$464.00
| SKU | Unit Size | Price |
|---|---|---|
Select a unit size:
Documents |





