Formulation Supplied at 0.5 mg/ml in Tris saline, 0.02% sodium azide, pH7.3 with 0.5% bovine serum albumin.
| |
Unit Size 100 µg | |
Storage Instructions Aliquot and store at -20°C. Minimize freezing and thawing. | |
Synonym / Alias Names poly(ADP-ribose) synthetase|poly (ADP-ribosyl) transferase-like 2|ADP-ribosyltransferase (NAD poly ADP-ribose polymerase)-like 2|pADPRT-2|PARP-2|ADPRTL3|ADPRTL2|ADPRT2|HGNC:272|poly (ADP-ribose) polymerase family, member 2|PARP2 | |
Accession ID NP_005475.1 | |
Blocking Peptide EBP07098 | |
Immunogen Peptide with sequence C-LDLFEVEKDGEKE, from the internal region of the protein sequence according to NP_005475.1. | |
Peptide Sequence C-LDLFEVEKDGEKE | |
Purification Method Purified from goat serum by ammonium sulphate precipitation followed by antigen affinity chromatography using the immunizing peptide. | |
Shipping Instructions Refrigerated | |
Predicted Species Human | |
Reactive Species Human | |
Human Gene ID 10038 | |
Product Grade ![]() | |
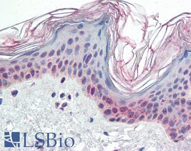
IHC Results Paraffin embedded Human Skin and Adrenal Gland. Recommended concentration: 5µg/ml. | |
ELISA Detection Limit Antibody detection limit dilution 1:8000. | |
Western Blot Approx 70kDa band observed in Human Spleen lysates (calculated MW of 60.8kDa according to NP_005475.1. Recommended concentration: 1-3µg/ml. | |
Application Type Pep-ELISA, WB, IHC |
Goat Anti-PARP2 Antibody
$431.00
| SKU | Unit Size | Price |
|---|---|---|
Select a unit size:
Documents |



