Formulation Supplied at 0.5 mg/ml in Tris saline, 0.02% sodium azide, pH7.3 with 0.5% bovine serum albumin.
| |
Unit Size 100 µg | |
Storage Instructions Aliquot and store at -20°C. Minimize freezing and thawing. | |
Synonym / Alias Names PARP3|poly (ADP-ribose) polymerase family, member 3|ADPRT3|ADPRTL2|ADPRTL3|IRT1|hPARP-3|pADPRT-3|ADP-ribosyltransferase (NAD+|poly (ADP-ribose) polymerase)-like 2|ADP-ribosyltransferase (NAD+|poly (ADP-ribose) polymerase)-like 3|NAD+ ADP-ribosyltransferase 3|poly(ADP-ribose) polymerase 3|poly(ADP-ribose) synthetase-3 | |
Accession ID NP_001003931.2; NP_001003935.2 | |
Blocking Peptide EBP09029 | |
Immunogen Peptide with sequence YEDYNCTLNQTNIEN , from the internal region of the protein sequence according to NP_001003931.2; NP_001003935.2. | |
Product Comments This antibody is expected to recognize both reported isoforms (NP_001003931.2; NP_001003935.2). | |
Peptide Sequence YEDYNCTLNQTNIEN | |
Purification Method Purified from goat serum by ammonium sulphate precipitation followed by antigen affinity chromatography using the immunizing peptide. | |
Shipping Instructions Refrigerated | |
Predicted Species Human | |
Reactive Species Human | |
Human Gene ID 10039 | |
Product Grade ![]() | |
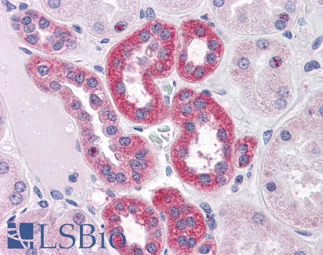
IHC Results Paraffin embedded Human Liver and Kidney. Recommended concentration: 3.75µg/ml. | |
ELISA Detection Limit Antibody detection limit dilution 1:2000. | |
Western Blot Preliminary experiments in lysates of cell lines Daudi, HeLa and HepG2 gave no specific signal but low background (at antibody concentration up to 1µg/ml). | |
Application Type Pep-ELISA, IHC |
Goat Anti-PARP3 Antibody
$431.00
| SKU | Unit Size | Price |
|---|---|---|
Select a unit size:
Documents |


