Formulation Supplied at 0.5 mg/ml in Tris saline, 0.02% sodium azide, pH7.3 with 0.5% bovine serum albumin.
| |
Unit Size 100 µg | |
Storage Instructions Aliquot and store at -20°C. Minimize freezing and thawing. | |
Synonym / Alias Names subtilisin/kexin-like protease PACE4|subtilisin-like protease|subtilisin-like proprotein convertase 4|paired basic amino acid cleaving system 4|SPC4|PACE4|proprotein convertase subtilisin/kexin type 6|PCSK6 | |
Accession ID NP_002561.1; NP_612192.1; NP_612195.1; NP_612197.1; NP_612196.1; NP_612198.2; NP_612193.1; NP_612194.1 | |
Blocking Peptide EBP08897 | |
Immunogen Peptide with sequence C-YHTFSAHQSRSR, from the internal region of the protein sequence according to NP_002561.1; NP_612192.1; NP_612195.1; NP_612197.1; NP_612196.1; NP_612198.2; NP_612193.1; NP_612194.1. | |
Product Comments This antibody is expected to recognize reported isoforms a, b, g and h (NP_002561.1; NP_612192.1; NP_612193.1; NP_612194.1 resp.). | |
Peptide Sequence C-YHTFSAHQSRSR | |
Purification Method Purified from goat serum by ammonium sulphate precipitation followed by antigen affinity chromatography using the immunizing peptide. | |
Shipping Instructions Refrigerated | |
Predicted Species Human | |
Reactive Species Human | |
Human Gene ID 5046 | |
Product Grade ![]() | |
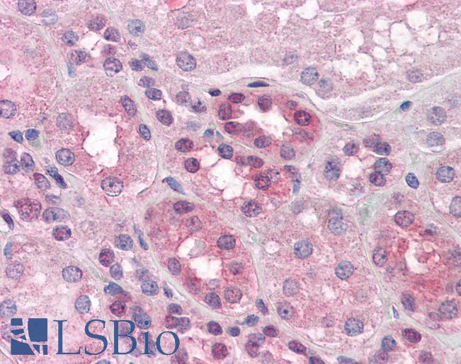
IHC Results Paraffin embedded Human Skeletal Muscle and Kidney. Recommended concentration: 5µg/ml. | |
ELISA Detection Limit Antibody detection limit dilution 1:32000. | |
Western Blot Preliminary experiments gave an approx 40-45 kDa band in Human Brain (Cerebellum) lysates after 0.2 µg/ml antibody staining. Please note that currently we cannot find an explanation in the literature for the band we observe given the calculated size of 106 kDa according to NP_002561.1. The 40-45 kDa band was successfully blocked by incubation with the immunizing peptide. | |
Application Type Pep-ELISA, IHC |
Goat Anti-PCSK6 Antibody
$431.00
| SKU | Unit Size | Price |
|---|---|---|
Select a unit size:
Documents |


