Formulation Supplied at 0.5 mg/ml in Tris saline, 0.02% sodium azide, pH7.3 with 0.5% bovine serum albumin.
| |
Unit Size 100 µg | |
Storage Instructions Aliquot and store at -20°C. Minimize freezing and thawing. | |
Synonym / Alias Names PDXP|pyridoxal phosphate phosphatase|pyridoxal phosphatase|pyridoxal (pyridoxine, vitamin B6) phosphatase|PLP|FLJ32703|dJ37E16.5|CIN|chronophin | |
Accession ID NP_064711.1 | |
Blocking Peptide EBP10505 | |
Immunogen Peptide with sequence C-QHDLVPHYYVES, from the C Terminus of the protein sequence according to NP_064711.1. | |
Peptide Sequence C-QHDLVPHYYVES | |
Purification Method Purified from goat serum by ammonium sulphate precipitation followed by antigen affinity chromatography using the immunizing peptide. | |
Shipping Instructions Refrigerated | |
Predicted Species Human, Mouse, Rat, Cow | |
Reactive Species Human, Mouse, Rat | |
Human Gene ID 57026 | |
Mouse Gene ID 57028 | |
Rat Gene ID 727679 | |
Product Grade ![]() | |
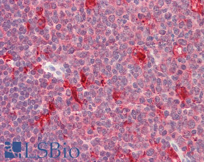
IHC Results Paraffin embedded Human Tonsil. Recommended concentration: 5µg/ml. | |
ELISA Detection Limit Antibody detection limit dilution 1:64000. | |
Western Blot Approx 32kDa band observed in Human and Rat Heart lysates and in Mouse and Rat Brain lysates (calculated MW of 31.7kDa according to NP_064711.1). Recommended concentration: 0.1-0.3µg/ml. Primary incubation was 1 hour. | |
Application Type Pep-ELISA, WB, IHC |
Goat Anti-PDXP Antibody
$431.00
| SKU | Unit Size | Price |
|---|---|---|
Select a unit size:
Documents |



