Formulation Supplied at 0.5 mg/ml in Tris saline, 0.02% sodium azide, pH7.3 with 0.5% bovine serum albumin.
| |
Unit Size 100 µg | |
Storage Instructions Aliquot and store at -20°C. Minimize freezing and thawing. | |
Synonym / Alias Names peroxiredoxin-6|non-selenium glutathione peroxidase|liver 2D page spot 40|antioxidant protein 2|acidic calcium-independent phospholipase A2|24 kDa protein|1-Cys peroxiredoxin|1-Cys PRX|p29|aiPLA2|PRX|NSGPx|AOP2|1-Cys|peroxiredoxin 6|PRDX6 | |
Accession ID NP_004896.1 | |
Blocking Peptide EBP12402 | |
Immunogen Peptide with sequence C-EANTTVGRIRFHD, from the internal region (near N terminus) of the protein sequence according to NP_004896.1. | |
Peptide Sequence C-EANTTVGRIRFHD | |
Purification Method Purified from goat serum by ammonium sulphate precipitation followed by antigen affinity chromatography using the immunizing peptide. | |
Shipping Instructions Refrigerated | |
Predicted Species Human | |
Reactive Species Human, Mouse | |
Human Gene ID 9588 | |
Product Grade ![]() | |
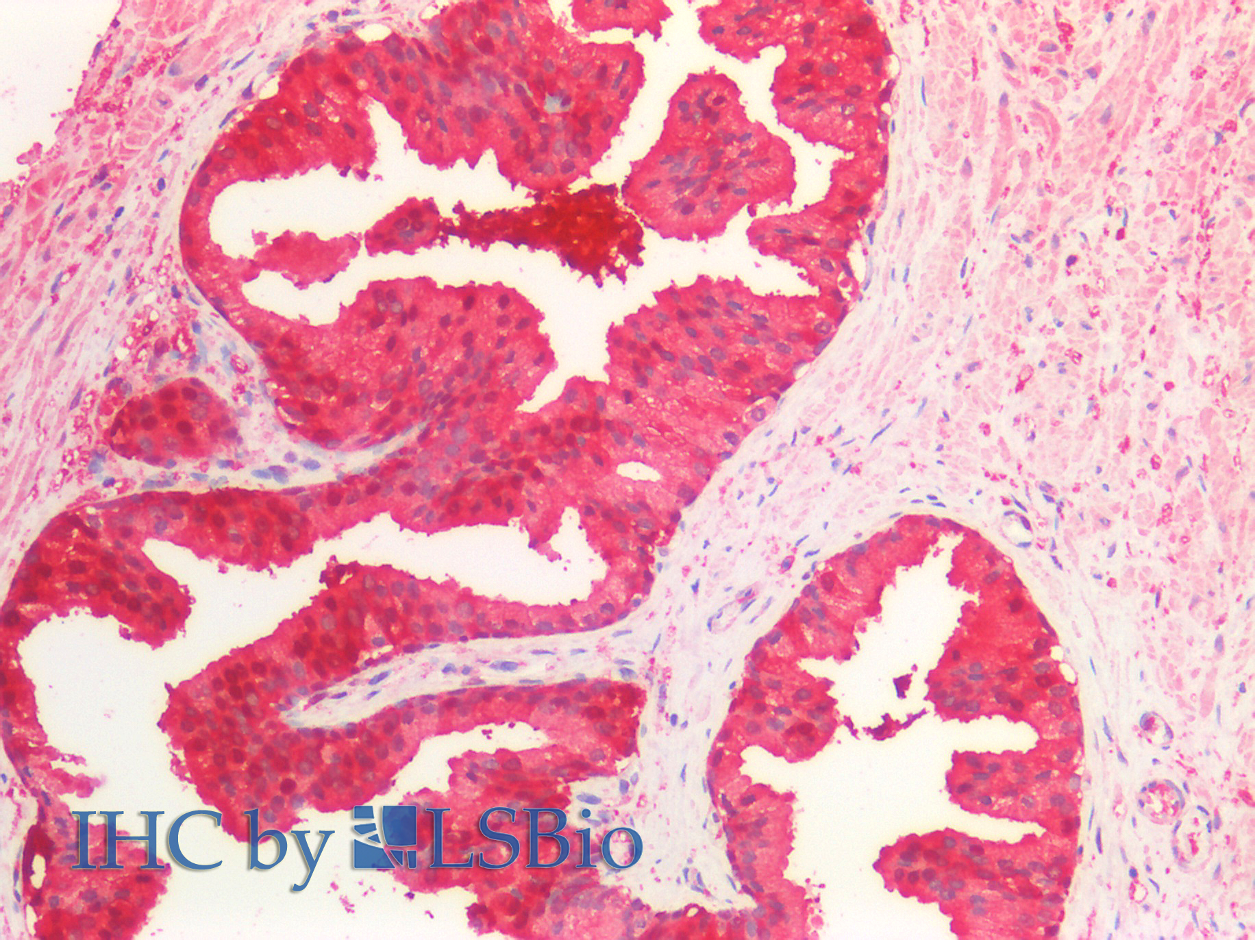
IHC Results Paraffin embedded Human Prostate. Recommended concentration: 5µg/ml. | |
ELISA Detection Limit Antibody detection limit dilution 1:128000. | |
Western Blot Approx 26kDa band observed in Human Heart and in Human and Mouse Liver lysates (calculated MW of 25.0kDa according to NP_004896.1). Recommended concentration: 0.1-0.3µg/ml. | |
Application Type Pep-ELISA, WB, IHC |
Goat Anti-peroxiredoxin 6 Antibody
$431.00
| SKU | Unit Size | Price |
|---|---|---|
Select a unit size:
Documents |



