Formulation Supplied at 0.5 mg/ml in Tris saline, 0.02% sodium azide, pH7.3 with 0.5% bovine serum albumin.
| |
Unit Size 100 µg | |
Storage Instructions Aliquot and store at -20°C. Minimize freezing and thawing. | |
Synonym / Alias Names MGC142218|DKFZp686L193|C2-containing phosphatidylinositol kinase|phosphoinositide-3-kinase, class 2, alpha polypeptide|PI3-K-C2(ALPHA)|PI3K-C2alpha|PI3-K-C2A|CPK|PIK3C2A | |
Accession ID NP_002636.2 | |
Blocking Peptide EBP06291 | |
Immunogen Peptide with sequence C-TVKWYQLTAATYL, from the C Terminus of the protein sequence according to NP_002636.2. | |
Peptide Sequence C-TVKWYQLTAATYL | |
Purification Method Purified from goat serum by ammonium sulphate precipitation followed by antigen affinity chromatography using the immunizing peptide. | |
Shipping Instructions Refrigerated | |
Predicted Species Human, Mouse, Dog | |
Reactive Species Human | |
Human Gene ID 5286 | |
Mouse Gene ID 18704 | |
Product Grade ![]() | |
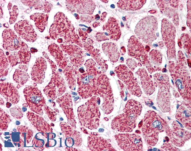
IHC Results In paraffin embedded Human Placenta shows cytoplasm staining of cytotrophoblasts and mesenchymal cells. Recommended concentration: 2-4µg/ml. Paraffin embedded Human Heart. Recommended concentration: 5µg/ml. | |
ELISA Detection Limit Antibody detection limit dilution 1:32000. | |
Western Blot Preliminary experiments gave no signal but low background in Human Testis and Molt-4 lysates at up to 1µg/ml. | |
Application Type Pep-ELISA, IHC |
Goat Anti-PIK3C2A Antibody
$431.00
| SKU | Unit Size | Price |
|---|---|---|
Select a unit size:
Documents |



